![]() |
Содержание:
|
Боли в локтевом суставе могут появляться у человека в любом возрасте, во многом завися от рода деятельности и наличия сопутствующих заболеваний. Высокий риск травматизации, частота сгибательно-разгибательных движений и сложное анатомическое строение верхних конечностей обуславливают появление внезапных или постепенно развивающихся неприятный ощущений и дискомфорта в области локтей.
Анатомия локтевого сустава
Локтевое сочленение костей (плечевой с локтевой и лучевой) сформировано тремя суставами, объединенными общей суставной капсулой:
- плечелоктевым;
- плечелучевым;
- проксимальным лучелоктевым.
Плечелоктевой сустав – объединение костей с винтообразными суставными поверхностями. Плечевая кость, имеющая блок на нижнем конце, соединяется с винтовидной выемкой и гребешком локтевой кости. Движения этого сустава производятся в амплитуде до 140 градусов.
Плечелучевой сустав – сочленение костей шаровидной формы, представленный головками выступов плечевой и лучевой костей. Направление движения сустава организовано согласно фронтальной оси и производится совместно с плечелоктевым суставом. Проксимальный лучелоктевой сустав имеет цилиндрическую форму, осуществляя вращательные движения.
Сгибание и разгибание локтя обеспечивают прилегающие к суставу мышцы, крепящиеся при помощи сухожилий. Капсула сустава фиксируется 4-мя связками. Кровоснабжение локтевого сустава производится посредством сети артериальных сосудов, а венозный отток – через проходящие в области локтя вены. Лимфатическая система участка представлена локтевыми и подмышечными лимфоузлами; иннервация зоны локтевого сустава осуществляется срединным, локтевым, лучевым нервами.
Почему болит сустав: механизм появления неприятных ощущений
Локтевой сустав выступает через тонкий слой кожи и хорошо ощущается при пальпации. В виду частого сгибания и разгибания руки, а также наличия выпирающих участков суставного сочленения удары и прочие травмы локтя – частое явление.
Поскольку сустав окружен большим количеством иннервирующих корешков, болевые ощущения при ушибе локтя наблюдаются вследствие сдавления или прямого воздействия внешних раздражителей на нервные волокна.
Хронические боли в локтевом суставе могут развиваться в результате нарушения местного кровообращения, происходящего при сдавлении артерий, вен и капилляров верхних конечностей. Такие боли требуют особого внимания: причиной их может стать как банальный вывих сустава, так локализация опухолевых метастазов в области локтя.
Еще одна распространенная причина болей в локтях – дегенеративно-дистрофические изменения хрящевой прослойки, наблюдающиеся в пожилом возрасте, а также при преждевременном износе сустава. Воспалительные процессы в синовиальных сумках, отложения солей, системные заболевания организма – факторы, способствующие развитию болезненных симптомов.
Причины болей в локтевом суставе
Большинство случаев хронических болей в локтевой зоне представлены следующими заболеваниями:
Эпикондилит сустава. Нарушения функционирования связок воспалительного характера – наиболее частая причина болевого синдрома в локтевой области (до 40% случаев).
и этом заболевании боли, как правило, усиливаются при длительном ношении тяжестей, занятиях на турнике, тренажерах, однотипных вращательных движениях руки. Микротравмы связочного аппарата приводят к развитию микровоспалений и, как следствие, к появлению ноющей боли в суставе. Обычно дискомфорт отсутствует в состоянии покоя конечности. При пальпации выступов локтя боли могут усиливаться.
Остеохондроз шейного отдела позвоночника. Внешний вид локтя невидоизменен; чаще всего неприятные ощущения локализуются не только в локте, но и по всей поверхности конечности. Боль может усиливаться при сильной усталости шеи, переохлаждении, в ночное время и дополняться онемением, покалываниями, пощипываниями.
Артроз. Боль при этом заболевании сопровождается ограничением подвижности, хрустом и наблюдается вследствие механического износа гиалинового хряща сустава. Со временем при отсутствии лечения происходит деформация суставных поверхностей и костей, что приводит к нарушению функций конечности и усилению боли по причине сдавления нервных корешков разросшимися костными остеофитами.
Артрит. Заболевание редко бывает изолированным, в большинстве случаев являясь началом системного воспалительного поражения опорно-двигательного аппарата. Клиническую картину дополняют отек, покраснение сустава, гипертермия. Наиболее часто встречающиеся виды артритов локтевого сустава:
- ревматоидный;
- реактивный;
- инфекционный;
- подагрический.
Реже встречаются следующие болезни, приводящие к появлению болей в локтевом суставе:
Прочие воспалительные поражения области локтя:
- тендинит (воспаление сухожилий в зоне их соединения с суставной капсулой). Боли при этом заболевании значительно усиливаются при движении локтя; кожа в области сустава покрасневшая, припухшая, болезненная при пальпации;
- бурсит (воспаление синовиальной сумки). В области локтевого выступа формируется небольшая опухоль, мягкая на ощупь, болезненная при сгибании, разгибании сустава;
- диффузный фасциит (воспаление мышечной фасции). Боли носят тянущий характер, наблюдается слабость мышц, а также потеря тонуса и упругости кожи в области локтя.
Нейрогенные и сердечно сосудистые заболевания:
- синдром кубитального канала (сдавление нерва, проходящего по кубитальному каналу локтя). Состояние обусловлено генетическими особенностями строения локтя или травмами. Нередко сопровождается онемением и снижением чувствительности локтевой области;
- невриты (воспаления) нервных корешков. Являются следствием травмирования локтя, выражаются покалываниями и болью в зоне сустава без видимых причин, не связанными с движением конечностью;
- один из симптомов при инфаркте миокарда. В этом случае тяжесть в области сердца и боль в груди и лопатках нередко сочетается в болью, онемением в локтевой зоне.
Системные и опухолевые заболевания организма:
- последствия сахарного диабета;
- осложнения травм спинного мозга;
- хондрокальциноз (отложение солей кальция в суставах);
- доброкачественные, злокачественные опухоли, метастазы в область локтя.
Виды травм локтевого сустава, приводящих к развитию болевого синдрома
Существует 3 группы травм: вывихи, переломы, ушибы. В свою очередь, среди переломов в области локтя выделяются:
- У-образные, Т-образные переломы мыщелков, надломы головки лучевой, локтевой костей, перелом блока плечевой кости;
- переломы, происходящие в области вокруг сустава – отрывы мыщелков, переломы костей вблизи сустава.
Боль в локте при переломах всегда сопровождается сильным отеком и гематомой, покраснением или гипертермией, иногда слышен отчетливый хруст сустава. Пальпация, как правило, вызывает усиление боли.
Помимо переломов, причиной дискомфорта в локте может стать и вывих – нарушение расположения головок и впадин костей. Если повреждается суставная капсула, отечность и дергающие боли могут напоминать симптомы перелома костей. Вывихи нередко сочетаются с растяжением или полным отрывом связок, отделением сухожилий от мышечной или суставной поверхности.
Таким образом, травма локтевого сустава требует незамедлительной врачебной диагностики во избежание серьезных последствий для здоровья (например, неправильного срастания костей).
Боль в локтевом суставе: разновидности и признаки
В зависимости от характера течения ощущения в суставе могут быть:
- Отраженные боли. Возникают при патологических процессах в прочих органах и системах, локализуясь в отдаленном участке тела (при остеохондрозе шейного, редко – грудного сегмента позвоночника). В этом случае локоть не меняет своего внешнего состояния, его подвижность не нарушается. Признаки боли – ноющие, покалывающие ощущения, снижение чувствительности локтевого сустава, онемение, при пальпации – отсутствие каких-либо симптомов.
- Проецируемая боль. Сопровождает сдавление спинного мозга при его травмировании или грыже межпозвоночного диска, нередко проявляясь болью в локтевом суставе в виде тянущих ощущений и онемения.
- Нейропатические боли. Сильная боль, жжение или покалывание могут наблюдаться при остром воспалении нервных волокон, сдавлении нервных корешков при деформирующем артрозе сустава или в результате травм.
- Острая боль. Сопровождает переломы, растяжения, разрывы сустава и его составляющих, а также подагрический артрит, острые стадии бурситов, обострения ревматоидного и реактивного артритов.
- Жгучая боль. Наблюдается при переломах, острых воспалениях нервов или их компрессии, а также при подагре.
- Тупые и ноющие боли. Могут стать симптомами артроза локтевого сустава, а при распространении по всей поверхности руки и локализации в груди и лопаточной области – при инфарктах. Хронические ноющие боли могут появляться при опухолевых процессах в области сустава.
- Боли при нагрузке. В состоянии покоя, как правило, отсутствуют. Чаще всего появляются при эпикондилите сустава.
- Боль при движении (сгибании, разгибании локтя) присутствует при поражении сухожилий и связок, артрозе локтевого сустава.
- Двусторонние боли могут появляться одновременно в левом локтевом суставе, локтевом суставе правой руки. Нередко являются следствием системных болезней организма (артрозов, сахарного диабета, системной красной волчанки и т.д.).
Диагностика заболеваний, сопровождающихся болью в локтевом суставе
Нередко опытный специалист может установить верный диагноз при визуальном осмотре пациента и сборе анамнеза, а также после проведения тестов на двигательную активность конечности, оценки симптоматики при пальпации.
Методами инструментальной диагностики являются:
- УЗИ сустава;
- рентгенография;
- лабораторные пробы (общий анализ крови, мочи, биохимия крови, специфические тесты).
При подозрении на нейрогенную природу болезни, последствия сахарного диабета, опухолевых процессов, остеохондроза требуются консультации узких специалистов (онколога, невролога, эндокринолога). При наличии симптомов и данных ЭКГ, подтверждающих инфаркт миокарда, больного госпитализируют в лечебное учреждение.
Лечение болей в локтевом суставе
При травме сустава накладывается гипсовая повязка, лангета, при этом срок их ношения определяется степенью повреждения костей, мышц или связок. При ушибах срок обездвиживания сустава составляет до 2-х недель. Переломы со смещением или расколом костей могут потребовать незамедлительного хирургического вмешательства и фиксации руки в гипсовой повязке на срок до 3 месяцев. До снятия гипса выполняется комплекс занятий лечебной гимнастикой, включающий дыхательные упражнения и разминку пальцев руки.
После удаления гипсового фиксатора производится поэтапная разработка локтевого сустава в течение 2 месяцев.
При воспалительных явлениях в суставе (бурситах, синовитах, артритах), развитии артроза или эпикондилита тактика лечения сводится к следующим мерам:
Медикаментозная терапия:
- купирование болевого синдрома при помощи перорального приема НПВП или инъекций глюкокортикостероидов;
- обезболивание локтевой области при помощи электрофореза с новокаином, глюкокортикостероидами, а также блокады с этими препаратами;
- улучшение состояния тканей суставного хряща: назначение хондопротекторов;
- улучшение кровоснабжения локтевого сустава: сосудорасширяющие препараты;
- снятие спазмов (мышечных, сосудистых): миорелаксанты;
- воссоздание оптимального уровня синовиальной жидкости в полости сустава: применение препаратов гиалуроновой кислоты (в форме внутрисуставных инъекций);
- антибактериальная терапия (при инфекционных артритах, бурситах).
Наружные средства широко применяются при любых разновидностях болей в суставе. На начальном этапе можно использовать средства с растительными компонентами или животными ядами, хондроитином (кремы и мази «Софья», «Артрозанет», мази с бишофитом, медицинской желчью, мазь «Апизатрон», «Траумель»). В случае сильной боли применяются наружные препараты с НПВС (вольтарен, диклофенак, аналгос и т.д.).
Немедикаментозные и физиотерапевтические методы лечения болей:
- Снижение нагрузки на сустав, иммобилизация, накладывание фиксирующих и давящих повязок.
- При бурситах и синовитах – аспирация суставной жидкости, гноя, дренаж синовиальной сумки.
- Физиотерапевтические способы лечения – магнитотерапия, лазеротерапия, УВЧ, УФО, микротоки.
- Ударно-волновая терапия.
- Рентгенотерапия (как правило, применяется при тяжелых воспалительных процессах с образованием наростов или опухолей сустава).
- Массаж, ЛФК, санаторно-курортное лечение.
Иногда может понадобиться операция (например, по замене сустава, иссечению бурсы, удалению осколков кости, высвобождению нервных корешков и т.д.).
Народное лечение болей в локтевом суставе
Наиболее эффективные народные методы для устранения неприятных ощущений в суставе:
- Приготовить настойку из стакана мертвых пчел и 1 л. водки. После нахождения в темном месте около 2 х недель смазывать пораженную зону ежедневно.
- Втирать в локтевой сустав свежий сок сельдерея и принимать его внутрь.
- Залить кипятком (200 мл.) ложку цветков гвоздики, настоять 1 час, выполнять компрессы на область локтя 2 раза/день.
- Аналогичным образом проводятся процедуры с применением настоя лаврового листа, цветков пижмы, ягод можжевельника, травы полыни, листьев и почек березы, сосновых иголок, овсяной соломы, листьев сирени, травы багульника.
Первая помощь при болях в локтевом суставе
При возникновении сильных болей до обращения к врачу необходимо применить следующие меры:
- Иммобилизация конечности с фиксацией в наименее болезненном состоянии (при травме сустава).
- Прикладывание льда или мокрого полотенца к больной зоне.
- Прием обезболивающих препаратов (НПВП, анальгина, баралгина, парацетамола), местное применение кремов с НПВП.
- В случае присутствия любых симптомов, подтверждающих сердечно сосудистую природу состояния, необходимо немедленно вызвать бригаду скорой помощи.
Общие факторы
Боль в локте появляется из-за различных проблем, причем характерность дискомфорта может быть разной. Можно выделить условную классификацию по локальному месторасположению боли.
Нарушения в хрящах, который влекут за собой деформацию кости и сустава
- артрит — инфекционное воспаление;
- артроз — деформация сустава;
- хондрокальциониз — большое скопление кальция, образующее отложения в суставной капсуле;
- остеофит — костный нарост;
- синовиальный хондроматоз — формирование свободных хрящевых тканей;
- подагра — нарушение обмена веществ;
- опухоль — доброкачественное либо злокачественное образование;
- перелом — нарушение целостности кости;
- ушиб — закрытое повреждение мягких тканей;
- вывих — смещение суставной кости;
- подвывих — частичное смещение костной ткани суставов.
Поражение мышечной и соединительной тканей
- тендинит — воспаление, вызывающее дистрофию тканей;
- эпикондилит — острый, подострый, медиальный;
- бурсит;
- синовит;
- диффузный фасциит;
- синдром кубитального канала;
- растяжение;
- разрывы.
Недуги, поражающие нервные окончания и сердечно-сосудистую систему
- неврит;
- заболевания позвоночного хребта: остеохондроз, межпозвоночная грыжа, грыжа Шморля;
- болезни крови: анемия, гемофилия;
- нейтрофическая артропатия Шарко;
- инфаркт миокарда.
Характер проявления локтевых болей
Боль, возникающая только во время подвижности сустава, вероятнее всего является следствием небольших травм, а также возможных хронических болезней.
Сгиб и разгиб

Болевой синдром развивается из-за воспаления, возникающего вследствие заболевания. Болезнь осложняется так называемыми «суставными мышами».
Патология весьма выраженная: боль при поступательных движениях, ощутимая припухлость мягких тканей, характерный звук (треск) при движениях. Сам сустав становится тугим, движения выполняются с трудом.
Боль сильная, выраженная.
Физическая нагрузка
Эпикондилит — дистрофическое заболевания, имеющее хронический характер протекания. Выделяется две формы: острая и подострая. Острая форма характеризуется постоянной болью, подострая — её отсутствием до определенного момента.
Человек при состоянии покоя не испытывает болезненного дискомфорта, однако возможно появление недомогания, выраженного болью, при нагрузке на локоть – к примеру, при переносе тяжелого предмета: движение влечет защемление нервных волокон и, соответственно, боль.
Проявление боли достаточно сильно, но и протекание быстрое — стоит исключить нагрузку, как синдром постепенно стихает.
Воспаление и боль
Причиной боли, сопровождаемой опуханием локтевого сустава, являются заболевания, имеющие воспалительный характер: артроз, артрит, тендинит, бурсит и т.п. Все заболевания мышечной, хрящевой и костной ткани имеют схожие симптомы: не явный отёк, но умеренно выраженную боль. Патология также характеризуется дискомфортом при совершении движений, локтевой сустав хрустит.
Сжимание кисти в кулак
Болевой синдром, появляющийся во время сжимания кисти в кулак, диагностируется у острой формы эпикондилита.
Острый эпикондилит характеризуется слабым, но ноющим плечевым дискомфортом. При сжатии кулака напрягаются мышцы и, соответственно, боль распространяется на все суставы руки. Боль быстро проходит.
Кроме того, причиной может стать механическая травма — ушиб. Получить ушиб можно достаточно просто: столкнуться с дверью, неудачно упасть или удариться о что-нибудь твердое.
Боль, локализующаяся на внутренней стороне
Причин для болей, появляющихся на внутреннее стороне локтя, достаточно много и зачастую такая боль является симптомом медиального эпикондилита. Например, механическая травма — ушиб, вывих, подвывих.
Острая боль проявляется явно, особенно сильно в момент травмирования. Постепенно синдром утихает, при прикосновениях пострадавший испытывает боль.
Боль в правом и в левом локте
При болезнях внутренних органов не редко случается иррадиация боли в локоть. Болезни, поражающие внутренние органы — отражают боли в левую сторону. Желчная колика и холецистит — болевой синдром ударяет вправо. Чувство жжения в локтях характеризует стенокардию, приближающегося инфаркта, обострения язвенной болезни. Точный характер боли определить сложно, поскольку она может отражаться от любого органа.
Классификация по характеру боли
Боль весьма характерный и специфический симптом, дающий начальное представление о возможной причине дискомфорта: болезни или ударе. Классифицируют возникающие боли по характеру:
- Ноющая боль является симптомом неврита. Постоянное побаливающие суставы могут также быть причиной образовавшихся опухолей, синдрому кубитального канала и даже туберкулезу, когда он проявляет симптомы, схожие с артритом.
- Резкие боли характерны для механических травм, полученных в результате неловкого падения. Периодические резкие вспышки боли могут быть причиной эпикондилита в обоих его проявлениях, либо сопровождать деформационный процесс, а также недуги, в ходе которых воспаляется сустав: артрит и бурсит.
- Острая боль в локте часто рассматривается как следствие болезни, провоцирующей воспалительный процесс: бурсит, артрит или эпикондилит. Дискомфорт отражением боли во внутренних органах. Однако, не стоит переживать раньше времени: причиной не стихающей острой боли может оказаться и обычная механическая травма.
- Сильная боль не может являться признаком практически каждой из перечисленных причин для дискомфорта в локте. Особенно сильные боли сопровождают воспаление в локте, характерное для многих заболеваний, поражающих сухожилия и непосредственно суставную капсулу.
- Жгучий болевой синдром является отражаемым. Жгучий дискомфорт — явный показатель сердечных недугов, а именно острого инфаркта миокарда и приступа стенокардии.
- Постоянные боли характеризуют ситуации, когда локоть поражен деформирующими болезнями: артрит, артроз. Хроническая боль характерна для людей, пострадавших от механической травмы, а так же вследствие развития опухолевой болезни.
- Тянущая практически не проявляется, боль не интенсивна. Часто определяется при заболеваниях: неврит и синдром кубитального канала.
- Стреляющие: защемление нервов вызывают боль, имеющую резкий и стреляющий характер. Точно такая же бывает при остеохондрозе.
Лечебная терапия
Любое лечение начинается с диагностики вероятных причин, поэтому назначается рентген. После него травматолог оценивает вероятный фактор возникновения боли и обращается за консультацией к неврологу, терапевту и хирургу.
Лечение заболеваний суставов и связок специфическое — ради достижения необходимого результата, а именно снятия симптомов и полного выздоровления, — комплексно применяют несколько методов терапии.
Проводится медикаментозное лечение, направленное на снятие болевого синдрома и воспаления. Кроме того, лекарства применяются направленные на укрепление иммунитета.
В достаточно редких случаях применяется хирургическое лечение, поскольку не всегда удается купировать все симптомы одними лекарствами. Например, при синовите суставов необходимо проводить пункцию, а после вычищать сустав от гнойных выделений.
Реабилитационный срок суставов и связок заключается в проведении физиотерапии, назначается лечебный массаж. Широко используются методы электрофореза, магнитная и волновая терапии.
Что предпринять в домашних условиях?
При появлении боли в первую очередь необходимо определить примерный характер её происхождения. Однако это сложно сделать без соответствующих знаний и исследований. Поэтому рекомендуется выполнять ряд советов до обращения за медицинской помощью.
Ни в коем случае нельзя не прикладывать к ране теплые компрессы. Если боль вызвана воспалительным процессов в тканях и суставах, то тепло лишь её усилит. Не нужно сдавливать локоть, пытаясь найти точную локализацию синдрома, поскольку надавливание лишь отвлечет от источника.
Необходимо приложить холодный компресс. Вне зависимости от того, механическая травма или заболевание какой-либо системы — холод снимет боль и отёк, повлияет на внутренние гематомы.
Народные методы лечения
Против воспаления используют ванночки из морской соли, отвары на сосновых шишках и иголках. Воспалительный процесс под их воздействием замедляется, припухлость постепенно сходит на нет.
Теплые тканные компрессы с протертыми алоэ и чистотелом, либо их соком, отлично снимут боль.
Способы лечения
Мази и гели
Такие средства применяются строго по предписанию лечащего врача, чрезмерное втирание может негативно повлиять. Популярные средства: Вольтарен;
Уколы
При сильной боли назначаются лекарство, которое вводится непосредственно в сустав через укол для снятия боли. Способ весьма рискованный, поскольку вместе с иглой в сустав можно внести инфекцию.
Таблетки
Применяются лекарства, направленные на купирование боли, дискомфорта и возможного воспаления. В большинстве своем препараты, направлены на обезболивание. Причем для лечения локтевого сустава может применяться даже простой «Аспирин».
Операция
Применяется два популярных способа хирургического вмешательства: артроскопия (позволяет удалить кусочки хряща из синовиальной жидкости) и остеотомия (реконструкция локтя после перелома).
В каком случае немедленно к врачу?
К врачу необходимо обратиться незамедлительно, если боль не проходит после приема лекарств и со временем её характер сменяется на хроническую форму. Даже если есть уверенность в том, то локоть просто был ушиблен, обращение к травматологу поможет исключить вероятные неприятные последствия.
А еще, обязательно посмотрите следующее видео
Заключение
Причин для возникновения боли в локтевом суставе действительно хватает: они многообразны и не всегда их легко диагностировать по внешним признакам. К счастью, современная медицина достаточно глубоко изучила эту сферу, и врачи сегодня имеют представление обо всех вероятных заболеваниях и патологиях. Во многих случаях специалисту достаточно выяснить характер боли – и снизить дискомфорт пациента.
Причины болей в локтевом суставе
Основными причинами болей являются:
- травмы локтя;
- вывихи;
- растяжения;
- длительные физические нагрузки;
- сдавливание межпозвоночных дисков;
- дистрофия хрящевых тканей локтевого сустава;
- воспаление связок;
- избыточное количество мочевой кислоты и прочее.
Возможные заболевания локтевого сустава
Заболеваний локтевого сустава множество, самыми распространёнными являются:
- Остеоартроз – заболевание, для которого характерна дистрофия хрящевой ткани. Человек испытывает:
- затруднение движений в локтевой части и по всей руке;
- хруст при сгибании;
- ноющую боль.
- Остеохондроз, при котором происходит сдавливание межпозвоночного диска. Основные симптомы:
- боль по всей руке;
- онемение;
- покалывание.
Часто все симптомы усиливаются в ночное время или после переутомления.
- Эпикондилит сустава, который возникает в результате микротравм, приводящих к развитию воспаления. Для заболевания характерна тупая боль, возникающая:
- после активных занятий спортом;
- поднятий тяжести;
- резкого подъёма рук.
- Артрит. Для этого заболевания характерны следующие симптомы:
- внезапная боль в лотке, особенно при разгибании;
- затруднение движения руки;
- отёк;
- невозможность вытянуть или поднять руку вверх.
- Подагра. Возникает у людей, в организме которых наблюдается большое количество мочевой кислоты. Главными симптомами, помимо боли, являются:
- повышение температуры тела;
- покраснение в области локтя;
- небольшая припухлость.
- Тенденит. При таком заболевании наблюдается воспаление сухожилий. В результате человек испытывает:
- сильную боль во время движения;
- покраснения в локтевой части;
- небольшую припухлость.
Несколько реже, но возможно боль в локтевом суставе происходит в результате таких заболеваний, как:
- сахарный диабет;
- отложение солей;
- инфаркт;
- опухолевые образования.
При первых симптомах незамедлительно следует проконсультироваться со специалистами, для этого можно обратиться к нашим врачам.
Как происходит лечение
Лечение заболеваний, связанных с болью в локтевом суставе проходит следующим образом:
- Обследование. Первое с чего начинается любое лечение – это с полного обследования пациента. Для этого человеку нужно обратиться к терапевту, а в дальнейшем, если врач решит о необходимости, будут назначены дополнительные обследования узкими специалистами, например, хирургом, физиотерапевтом, неврологом и прочими.
На обследовании, как правило, врач делает следующее:
- интересуется характером и длительностью болезненных ощущений в локте;
- узнаёт о наличии сопутствующих или хронических заболеваниях;
- проводит визуальный осмотр руки;
- пробует сгибать, разгибать конечность;
- прощупывает область локтя;
- делает предварительное заключение.
В большинстве случаев назначается УЗИ. С помощью этой методики можно определить:
- контур хрящевой ткани;
- степень воспаления;
- состояние сухожилий, нервов и прочее.
- Медикаменты. Медикаментозное лечение назначается на основании поставленного диагноза и только лечащим врачом.
Как правило, если причиной болей в локтевом суставе является артроз или артрит, то необходимо применение комплексной противовоспалительной терапии. Например, выписываются следующие препараты:
- Диклофенак.
- Артрозан.
- Мобилак.
Они могут назначаться в виде таблеток или инъекций. Последнее более эффективно и быстрее даёт положительный результат. Также врач может рекомендовать ежедневно использовать мази и гели, например, Вольтарен или Финалгон. Такие средства способны:
- существенно снизить отёк;
- уменьшить воспаление;
- избавить от боли, особенно в моменты движений.
Если у человека боль вызвана вследствие вывихов и травм, то врач советует препараты, действие которых направлено на расслабление мышц. Самостоятельно назначать их противопоказано, поскольку они применяются исключительно под наблюдением лечащего врача. Нередко специалисты рекомендуют приём препаратов, содержащих кальций. Они позволяют быстрее восстановиться костям и тканям, особенно после болезней или травм. Для назначения медикаментозного лечения при заболеваниях локтевого сустава можно обратиться к нашим врачам за бесплатной консультацией.
- Физиотерапия. В результате такого лечения идёт непосредственное воздействие электрофореза на проблемную область. Это весьма эффективное лечение, благодаря которому:
- уменьшается отёчность;
- снижаются болезненные ощущения в зоне локтя;
- улучшается подвижность.
У такого вида лечения имеются противопоказания, например, сердечно-сосудистые заболевания.
- Народная медицина. Способов избавления от боли и других неприятных симптомов в локтевом суставе с помощью народной медицины множество. Самими действенными считаются:
- настойка прополиса. Для приготовления требуется 5-6 гр прополиса и 200 мл неразбавленного спирта. Прополис заливается спиртом, тщательно закрывается крышкой и оставляется в тёмном и прохладном месте на 5 дней (можно в холодильнике). Далее, полученный настой прикладывается в виде компресса к больному участку;
- медовая мазь. Мёд (исключительно натуральный) нагревается с помощью водяной бани и хорошенько втирается в локтевую часть массажными движениями. После, необходимо руку замотать шарфом и лечь отдыхать. До утра такую мазь смывать нельзя;
- настойка из девясила. Корни девясила в количестве примерно 15-20 грамм заливаются 500 мл спирта (или водки), плотно закрываются крышкой и в тёмном месте настаиваются в течение 2 недель. Далее, настой втирается в проблемную область.
- Хирургическое вмешательство. В исключительно крайних случаях, когда другие виды лечения не действенны, показано хирургическое вмешательство. В большинстве случаев операции назначаются:
- после серьёзных и сложных травм;
- при деформации сустава;
- когда человек утратил возможность любого движения рукой;
- при серьёзных осложнениях.
Иногда происходит замена локтевого сустава на искусственный, который изготавливается из новейших специальных материалов. Избежать хирургического вмешательства в большинстве случаев можно, если человек своевременно пришёл за помощью к специалистам и выполнял все предписания и рекомендации.
Профилактика
Для того чтобы снизить вероятность развития различных заболеваний и минимизировать возможность появления болезненных ощущений в локтевом суставе, необходимо выполнение определённых профилактических мер:
- вести здоровый образ жизни;
- физическую нагрузку увеличивать постепенно;
- при первых неприятных симптомах избегать резких движений, спортивных занятий и поднятия тяжести;
- пить курсом препараты кальция (но только после назначения врачом);
- ввести в рацион больше зелени (особенно петрушки), творога, сыра, орехов;
- полноценно отдыхать;
- больше гулять и стараться не нервничать.
В заключение можно выделить несколько советов:
- при любых болезненных и неприятных симптомах, даже самых незначительных, обратиться к врачу;
- соблюдать все предписания и рекомендации по лечению;
- не заниматься самолечением.
«Локоть теннисиста», «локоть игрока в гольф» — эпикондилит наружного или внутреннего надмыщелка плеча
Эти патологии возникают на фоне перегрузок и основной причиной будут однотипные, повторяющиеся движения – например, управление компьютерной мышью, работа на дачном участке, занятия спортом и управление вообще какими-либо механизмами, которые требуют напряжения мышц сгибателей/разгибателей кисти.
Характерным для этих заболеваний будет:
- болезненность при ощупывании мест крепления сухожилий;
- боль при активном сгибании кисти (присуща внутреннему эпикондилиту);
- боль при активном разгибании кисти (присуща наружному эпикондилиту);
- распространение неприятных ощущений вниз на предплечье;
- ограниченность движений в локтевом суставе.
Общие принципы лечения наружного и/или внутреннего эпикондилита заключаются в следующем:
- Полное исключение нагрузок на локтевой сустав.
- Проведение физиопроцедур – эффективными будут лазеролечение, магнитотерапия, электрофорез и ультразвук.
- В случае хронического течения заболевания назначают курс ударно-волновой терапии.
- Прием противовоспалительных средств в виде таблеток и мазей/гелей/кремов (препараты местного назначения) – Целебрекс, Мовалис, Нимесил и Найз.
- Подбор специальной лечебной гимнастики.
Если описанные методы не дают эффекта, то больному может быть проведена блокада в конкретную болевую точку с анестетиком и глюкокортикостероидом. Хирургическое вмешательство по поводу наружного и/или внутреннего эпикондилита проводится крайне редко.
Остеоартроз локтевого сустава деформирующего типа
Крайне редко это заболевание встречается, как самостоятельная патология (исключение составляет лишь состояние посттравматического артроза), чаще всего локтевые суставы поражаются при полиартрозе. Боль в этом случае будет беспокоить при нагрузке – например, при переносе тяжестей. Характерными признаками деформирующего остеоартроза локтевого сустава будут ограничение движений и хруст, деформация сустава.
Общие принципы лечения рассматриваемого заболевания:
- Ограничение физической нагрузки.
- Массаж верхней конечности.
- Назначение противовоспалительных лекарственных препаратов в периоды обострения болей в локтях.
- Курсовое проведение физиопроцедур – например, магнитотерапия, УВЧ или электрофорез.
- Подбор комплекса упражнений из лечебной гимнастики.
Обратите внимание: при деформирующем остеоартрозе локтевого сустава обязательно назначаются лекарственные препараты из группы хондропротекторов, которые способны улучшить обменные процессы в хрящевой ткани. К таким препаратам относятся Структум, Артра и Алфлутоп.
Заболевания воспалительного характера
Локтевой сустав может подвергнуться поражению воспалительным процессом при многих заболеваниях – например, подагра, инфекционные артриты, ревматоидный артрит, псориаз. В этом случае пациент будет предъявлять жалобы на боль в локтевом суставе, которая усиливается даже при незначительных движениях им и в ночное время. Врач отметит, что больной старается держать руку в полусогнутом положении, тем самым снижая интенсивность болевого синдрома, у него развивается тугоподвижность локтевого сустава.
Кроме характерной боли в локтевом суставе, при воспалительных процессах будут присутствовать повышенная температура кожных покровов непосредственно в месте расположения сустава, покраснение кожи, скованность после периода покоя. А если боли в локтях вызваны подагрой, то будут образовывать специфические узелки – тофусы.
Общие принципы лечения воспалительных процессов:
- Проведение терапии основного заболевания.
- Назначение противовоспалительных лекарственных средств.
- Полное исключение физических нагрузок.
- Курс физиопроцедур – лазеротерапия и магнитотерапия.
Если диагностирован артрит гнойного характера, то больному обязательно назначаются антибактериальные препараты. После купирования острого воспаления пациенты должны заниматься лечебной гимнастикой, посещать курсы массажа и получить назначения по приему хондропротекторов.
Локтевой туннельный синдром
Это заболевание развивается на фоне сдавления локтевого нерва в области его прохождения в костной борозде локтевого сустава. Причины такого сдавления могут быть самые разные – например, слишком частые сгибания/разгибания локтя, травмы, костные выросты. Боль при локтевом туннельном синдроме начинается от локтя, распространяется по предплечью и иррадиирует в 4 и 5 палец кисти. Этот симптом всегда сопровождается онемением кожи в месте распространения боли.
Чтобы поставить диагноз «локтевой туннельный синдром», врач проводит простейший тест – ударяет молоточком по локтевой борозде, а у пациента в это время появляется покалывание или прострел по предплечью до мизинца.
Общие принципы лечения локтевого туннельного синдрома:
- Максимально возможное ограничение нагрузок, в некоторых случаях требуется фиксация сустава ортезом.
- Назначение противовоспалительных препаратов, антидепрессантов и антиконвульсантов.
- Прием витаминов группы В.
Если боль слишком интенсивная и простая терапия не дает результата, то больному проводится блокада с анестетиком и глюкокортикостероидом непосредственно в область ущемления нерва. Крайне редко, но имеет место быть, хирургическое вмешательство.
Неврит локтевого нерва
Речь идет о воспалении локтевого нерва, которое может развиться, как следствие переохлаждения, травмы или вальгусной деформации сустава. Боль в этом случае будет локализована непосредственно в локтевом суставе, носит она, чаще всего, ноющий характер. Как вторичный симптом неврита локтевого нерва – онемение 4 и 5 пальца руки, снижение в них силы.
Лечение рассматриваемого патологического процесса заключается в проведении медикаментозной терапии (сосудистые препараты, мочегонные средства, анальгетики, витамины группы В, нестероидные противовоспалительные средства). После купирования острого неврита больному назначается массаж, лечебная гимнастика и физиопроцедуры (электрофорез и фонофорез).
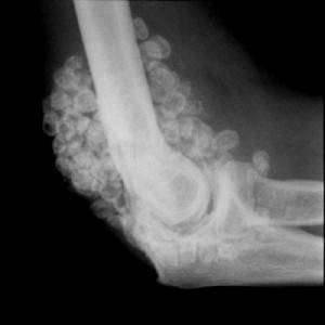
Бурсит локтевого отростка
На верхушке локтевого сочленения располагается подкожная сумка, которая заполнена синовиальной жидкость. Если произошла травма, либо имеет место быть постоянное трение этой области о стол, эта сумка может воспаляться. Подобный патологический процесс может развиться на фоне ревматоидного артрита и подагры.
Диагностика бурсита локтевого отростка не представляет трудностей: при согнутой руке на суставе появляется округлое образование, которое имеет мягкую консистенцию и отличается малоболезненностью. Если развивается бурсит гнойного характера, то пациент будет жаловаться на сильные боли в локтевом суставе, отечность и покраснение кожи в месте поражения.
Общие принципы лечения:
- Обеспечивается абсолютный покой суставу, нередко требуется наложение фиксирующей повязки.
- Назначаются нестероидные противовоспалительные препараты, которые снимут боль и остановят прогрессирование патологического процесса.
- Ставятся местные компрессы с димексидом или спиртом.
- В полость сумки вводится антибиотик или глюкокортикостероид (при тяжелом течении бурсита локтевого сустава).
После того, как острое воспаление будет купировано, допускается проведение физиопроцедур. Если рецидивы бурсита слишком частые, то врачи назначают проведение хирургического лечения – во время операции сумка иссекается.
Межпозвоночные грыжи и остеохондроз
Если грыжа или остеохондроз развиваются в верхнегрудном и нижнешейном отделах позвоночника, то боли в локтевом суставе будут присутствовать по причине ущемления нервных корешков. Боль весьма характерная – жгучая или постоянно ноющая, что зависит от уровня нагрузки на руку. Больной не может согнуть руку в локте, она становится очень слабой, а по всей площади предплечья нарушается чувствительность кожи.
Лечение при остеохондрозе и/или межпозвоночной грыжи всегда комплексное – иглорефлексотерапия, медикаментозные назначения (нестероидные противовоспалительные препараты, блокады с анестетиками, витамины группы В, хондропротекторы), массаж, лечебная гимнастика. Если терапевтическое лечение не дает положительного результата, то врачи рекомендуют проведение хирургического лечения – операции на позвоночнике.
Травмы локтевого сустава
Подразумеваются ушибы локтевого сустава, вывих предплечья, переломы костей, разрыв сухожилия двуглавой мышцы. Стоит знать, что в случае боли, отека, деформации сустава, ограничения движений в локте после травмы обязательно нужно обратиться к врачу для постановки точного диагноза, что возможно сделать только путем проведения рентгенографии.
Лечение травм локтевого сустава проводится в строго индивидуальном порядке, но может включать в себя:
- Вправление вывиха.
- Хирургическое вмешательство по поводу разрыва сухожилия бицепса.
- Сопоставление обломков костей ручным способом при переломах со смещением.
- Полноценную иммобилизацию сустава.
- Медикаментозную терапию – назначение анальгетиков и нестероидных противовоспалительных препаратов.
Обязательно в восстановительном периоде нужна реабилитация – массаж, лечебная гимнастика, физиопроцедуры.
Сустав Шарко (артропатия Шарко)
Данная патология поражает не только локтевой сустав, страдать могут сразу 2-3 разных сочленения. Чаще всего артропатия Шарко наблюдается при системных заболеваниях – например, на фоне поздней стадии сифилиса, сахарного диабета, сирингомиелии.
Артропатия Шарко характеризуется дистрофическими изменениями локтевого сустава, он становится отечным, нестабильным, страдает его двигательная функция.
Лечение рассматриваемой патологии заключается в терапии основного заболевания, полным ограничением подвижности локтевого сустава жестким ортезом. Если симптомы патологии выражены слишком интенсивно, то пациенту проводится хирургическое вмешательство (эндопротезирование).
Гемофилия
Это заболевание характеризуется плохой свертываемостью крови. Боль в локтях может возникнуть при ушибе сустава – в нем будет образовываться гематома, полость сустава заполнится кровью. Больной будет отмечать не только выраженную боль, но и отечность локтевого сустава, ограничение движения в нем.
Чтобы избежать болей в локтях при ушибах на фоне гемофилии, нужно не только своевременно проводить аспирацию крови из полости сустава, но и соблюдать профилактику травм.
Хондроматоз синовиальный
Это заболевание хрящевой ткани, когда нарушается процесс формирования хряща и в полости сустава образуются свободные хрящевые фрагменты. Развитие этой болезни начинается еще в детском возрасте, симптомами будут деформация костей и укорочение верхних и нижних конечностей.
Боль в локтевом суставе на фоне синовиального хондроматоза будет возникать при сгибании и разгибании руки. Со временем боль принимает постоянный характер, локтевой сустав отекает и становится тугоподвижным.
Лечение в данном случае уместно только хирургическое, которое заключается в удалении хрящевых тел.
Болезнь Шульмана (диффузный фасциит)
Это заболевание соединительной ткани. В пленках, которые покрывают околосуставные мышцы (фасции), развивается хронический воспалительный процесс. Кроме постоянной, тянущей боли в локте, пациент жалуется на потерю подвижности в суставе.
Лечение будет эффективным только в том случае, если диффузный фасциит был диагностирован на ранней стадии своего развития. Больному в рамках терапии назначаются глюкокортикоиды и цитостатики, а после купирования острого воспаления – массаж, лечебная гимнастика и физиотерапия.
Опухоль локтевого сустава
Боль в локтях при опухолевом процессе сначала появляется внезапно, носит кратковременный характер и исчезает без вмешательства врачей. Но по мере прогрессирования патологического процесса рассматриваемый синдром приобретает большую выраженность, не снимается даже мощными анальгетиками. Кроме характерной боли, у пациента отмечается резкое похудение, повышенная утомляемость, незначительные, но постоянные повышения температуры – малые признаки рака.
Лечение опухолей локтевого сустава только хирургическое, объем и метод операции зависит от того, какой характер имеет новообразование (доброкачественный или злокачественный), точного расположения опухоли и ее размера.
Боли в локтях – это всегда симптом прогрессирующей патологии. Чем раньше будет диагностировано истинное заболевание, тем эффективнее будет лечение. Поэтому врачи настаивают на немедленном обращении в лечебное учреждение даже при непостоянных и невыраженных болях в локтях.
Цыганкова Яна Александровна, медицинский обозреватель, терапевт высшей квалификационной категории
1,338 просмотров всего, 3 просмотров сегодня
Эпикондилит наружного или внутреннего надмыщелка плеча («локоть теннисиста» или «локоть игрока в гольф»)
Это болезни, возникающие из-за перегрузок. Наиболее частая причина – выполнение однотипных повторяющихся движений: работа на даче, занятия спортом, управление компьютерной мышью, какими-либо механизмами, требующими напряжения мышц сгибателей или разгибателей кисти. Характерна болезненность при ощупывании мест крепления сухожилий этих мышц, а также боль при активном сгибании кисти (внутренний эпикондилит) или разгибании ее (наружный). Боль может продолжаться вниз на предплечье. Движения в самом локтевом суставе, как правило, не ограничены.
Лечение:
- Исключение нагрузок на локтевой сустав.
- Противовоспалительные средства (таблетированные препараты и местного применения): Мовалис, Найз, Нимесил, Целебрекс.
- Физиопроцедуры (магнитотерапия, ультразвук, лазеролечение, электрофорез).
- Специальная лечебная гимнастика.
- При неэффективности – блокада в болевую точку с анестетиком и гормоном – глюкокортикоидом.
- Ударно-волновая терапия (при хроническом течении).
- Редко – оперативное лечение.
Деформирующий остеоартроз локтевого сустава
Изолированно это заболевание встречается редко за исключением посттравматического артроза. В основном локтевые суставы поражаются при полиартрозе. Боль беспокоит при нагрузке на руку, переносе тяжестей. Характерно также ограничение движений, хруст в суставе, позже – его деформация. С развитием болезни боль становится практически постоянной, ноющей.
Лечение:
- При обострении – противовоспалительные препараты.
- Ограничение физической нагрузки.
- Лечебная гимнастика.
- Применение хондропротекторов (средств, улучшающих обмен веществ в хрящевой ткани) – Артра, Алфлутоп, Структум.
- Физиопроцедуры (магнитотерапия, электрофорез, УВЧ).
- Массаж верхней конечности.
Воспалительные заболевания
Локтевой сустав может подвергнуться воспалительным изменениям при ревматоидном артрите, подагре, псориазе, инфекционных артритах. Человек ощущает боль в суставе, усиливающуюся при движениях им, а также в ночное время. Он старается держать руку в полусогнутом положении, чтобы облегчить состояние, в результате развивается тугоподвижность. Помимо боли беспокоит скованность после периода покоя, горячие кожные покровы сустава, краснота. При подагре на локтях образуются узелки – тофусы.
Лечение:
- Терапия основного заболевания.
- Исключение физических нагрузок.
- Противовоспалительные препараты.
- При гнойном артрите – антибиотики.
- Физиопроцедуры (магнитотерапия, лазеротерапия).
- После купирования воспаления – лечебная гимнастика, легкий массаж, курс хондропротекторов.
Локтевой туннельный синдром
Эта патология развивается по причине сдавления локтевого нерва в области его прохождения в костной борозде локтевого сустава. Причины сдавления могут быть различными (травмы, частые сгибания и разгибания локтя, костные выросты – остеофиты конца плечевой кости). Боль начинается от локтевого сустава и продолжается по предплечью, отдавая в 4-й и 5-й пальцы кисти. Одновременно беспокоит онемение кожи на этом участке. Врач проводит диагностический тест – ударяет молоточком по локтевой борозде, у пациента появляется покалывание или прострел по предплечью до мизинца.
Лечение:
- Ограничение нагрузок, иногда требуется фиксация сустава ортезом.
- Противовоспалительная терапия (нестероидные противоспалительные средства).
- Антиконвульсанты, антидепрессанты (строго по назначению доктора).
- Физиолечение (электрофорез, фонофорез с димексидом).
- Витамины группы В.
- Блокады с анестетиком и глюкокортикоидом в область ущемления нерва.
- В некоторых случаях – оперативное вмешательство.
Неврит локтевого нерва
Причины воспаления локтевого нерва разнообразны – травмы, переохлаждения, трение его о кость при вальгусной деформации сустава. Боль в локтевом суставе ноющая, немеют 4-й и 5-й пальцы руки, снижена сила в них.
Лечение:
- Нестероидные противовоспалительные препараты, анальгетики.
- Витамины группы В.
- Сосудистые препараты (Эуфиллин, Папаверин), мочегонные средства (Фуросемид).
- Физиопроцедуры (фонофорез, электрофорез).
- Массаж, ЛФК.
Бурсит локтевого отростка
На верхушке локтевого сочленения имеется подкожная сумка, заполненная синовиальной жидкостью. После травмы или постоянного трения этой области о стол, предметы, а также при ревматоидном артрите или подагре эта сумка может воспаляться. Диагностировать бурсит несложно: вы можете легко заметить округлое образование на суставе при согнутой в локте руке, оно мягкой консистенции, малоболезненное. Если бурсит гнойный, возникают боли, покраснение кожи над образованием, отечность.
Лечение:
- Покой, повязка.
- Нестероидные противовоспалительные препараты.
- Местно полуспиртовые компрессы, компрессы с димексидом.
- Пункция и аспирация содержимого сумки шприцом, введение в полость глюкокортикоида или антибиотика.
- Физиолечение.
- При рецидивах – операция, заключающаяся в иссечении сумки.
Остеохондроз, межпозвоночные грыжи
Если грыжа или протрузия образовалась в сегменте ThI–ThII или C5–C6 (в нижнешейном и верхнегрудном отделах позвоночного столба), могут беспокоить боли в локтях из-за ущемления нервных корешков. Боль обычно жгучая или ноющая, не зависит от нагрузки. При попытке согнуть руку в локте ощущается слабость, нарушена чувствительность кожи по предплечью.
Лечение:
Сначала проводится комплексное консервативное лечение: физиотерапия, иглорефлексотерапия, массаж, лечебная гимнастика, нестероидные противовоспалительные средства, витамины группы В, околопозвоночные блокады с анестетиками, глюкокортикоидами, хондропротекторами.
При неэффективности проводится хирургическое вмешательство на позвоночнике.
Травмы локтевого сустава
К ним относятся ушиб, вывих костей предплечья, различные переломы костей, образующих сустав, разрыв сухожилия двуглавой мышцы.
Если после травмы вы отмечаете непроходящую боль, отек, деформацию сустава или окружающих его областей, ограничение или пружинящие движения в локте, обратитесь к врачу. Возможно, понадобится рентгенография для уточнения диагноза.
Лечение:
- При переломах со смещением – сопоставление отломков ручным способом или с помощью операции. В случае вывиха – вправление его. Если порвано сухожилие бицепса, в большинстве случаев оно сшивается хирургическим путем.
- Иммобилизация сустава.
- Анальгетики, нестероидные противовоспалительные препараты.
- После прекращения иммобилизации необходима реабилитация (массаж, физиолечение, ЛФК).
Артропатия Шарко (сустав Шарко)
Данная патология может поражать суставы (одновременно 2–3 сочленения), в том числе и локтевой, при системных заболеваниях, таких как сирингомиелия, травмы спинного мозга, спинная сухотка (поздняя стадия сифилиса), сахарный диабет. Нарушается иннервация и развиваются дистрофические изменения тканей локтевого сустава. Он отекает, краснеет, становится нестабильным, деформируется. Страдает двигательная функция. Беспокоит боль, правда, постепенно она стихает из-за нарушения нервной проводимости.
Лечение:
- Терапия основного заболевания, что является и профилактикой развития сустава Шарко.
- Иммобилизация сустава жестким ортезом.
- При выраженных симптомах – хирургические операции (артродез, т. е. замыкание сустава, использование аппарата внешней фиксации, эндопротезирование).
Гемофилия
При этом заболевании, как известно, плохо свертывается кровь, и даже при незначительной травме в сустав может произойти кровоизлияние. Локтевой сустав не исключение. Из-за заполнения его полости кровью появляется распирающая боль, увеличение сустава в объеме, ограничение движений в нем. Раздражается оболочка сустава, что приводит к хроническому синовииту.
Лечение:
- Терапия гемофилии.
- Своевременная аспирация крови из полости сустава, при синовиите – введение в него противовоспалительных средств (глюкокортикоидов).
- Профилактика травм.
Синовиальный хондроматоз
Синовиальный хондроматоз – это заболевание хрящевой ткани, при котором нарушается процесс формирования хряща, и в полости сустава образуются свободные хрящевые фрагменты. Развивается болезнь в детском возрасте, проявляется деформацией костей, укорочением рук и ног. В локтевом суставе возникает боль при сгибании и разгибании, сустав воспаляется из-за постоянного раздражения синовиальной оболочки хрящевыми тельцами. Тогда боль уже становится постоянной, сочленение отекает, становится тугоподвижным.
Лечение:
Только хирургическое вмешательство, заключающееся в удалении хрящевых тел. Чаще всего выполняется артроскопия – операция через небольшие проколы.
Диффузный фасциит (болезнь Шульмана)
Это болезнь соединительной ткани. В фасциях – пленках, покрывающих околосуставные мышцы, формируется хронический воспалительный процесс. Прощупываются уплотнения под кожей, а сами кожные покровы плеча и предплечья напоминают апельсиновую корку. Помимо тянущей боли в локте он теряет свою подвижность.
Лечение:
Терапия диффузного фасциита более эффективна при раннем его обнаружении.
- Глюкокортикоиды.
- Цитостатики.
- Физиотерапия (фонофорез с трилоном В).
- ЛФК, массаж вне обострения.
Опухоль локтевого сустава
Сначала боль может появляться и исчезать самостоятельно. Но затем болевые ощущения становятся постоянными, усиливаются в ночное время суток, плохо поддаются приему анальгетиков. Кроме боли, можно обнаружить так называемые малые признаки рака – похудение, потеря аппетита, утомляемость, небольшое повышение температуры тела. По мере увеличения опухоли она может прощупываться или быть заметной визуально. Возможны патологические переломы костей в области локтя.
Лечение:
Только хирургическое, объем операции зависит от вида новообразования, его точного расположения и степени развития.
Принципы лечения боли в локте
- Если в локте возникла боль, усиливающаяся при движениях, необходимо прекратить нагрузку на руку, а при сильной боли даже зафиксировать локоть косыночной повязкой, надеть на сустав бандаж. Посетите ортопеда.
- При травме сустава, если есть признаки перелома или вывиха, обездвижьте руку, наложив шину из подручных материалов. Примите обезболивающий препарат и вызовите скорую помощь.
- Если боль слабая, не связана с травмами, с нагрузками, обратитесь к ортопеду. При жжении, нарушении чувствительности предплечья, пальцев проконсультируйтесь у невролога.
Не игнорируйте боль в локте, при прогрессировании заболевания, вызвавшего ее, лечение будет не таким эффективным.
К какому врачу обратиться
Если боль в суставе возникла сразу или через некоторое время после травмы — обратитесь к травматологу. При постоянной боли, сопровождающейся отеком, деформацией, хрустом в суставе, ограничением его подвижности нужно прийти на прием к ревматологу. При нарушениях чувствительности, распространении боли в пальцы или предплечье, слабости в руке прежде всего советуем проконсультироваться у невролога. Дополнительную помощь в лечении окажет врач-физиотерапевт, специалист по лечебной физкультуре и массажу. В некоторых случаях полезна консультация ортопеда (если боль усиливается при движении). При обнаружении опухоли ее лечит онколог, при гемартрозе, вызванном гемофилией, необходима помощь гематолога.
Доктор Евдокименко рассказывает о боли в локтевых суставах:
Елена Малышева в программе «Жить здорово!» рассказывает о боли в локтевых суставах:
Врач-невролог М. М. Шперлинг говорит об эпикондилите:
Наша передача о хрусте в суставах:

