Дегенеративно-дистрофическая болезнь суставов именуется гонартроз. Сегодня данный недуг является лидером в группе разнообразных поражений сочленений у человека. Симптоматика заболевания, согласно статистике, встречается у 15-20% всего населения. При этом наиболее часто именно у женщин диагностируется гонартроз коленного сустава 2 степени. Лечение недуга затруднено. Поскольку болезнь относится к неизлечимым.
Главные причины
При гонартрозе происходят дистрофические процессы хряща, покрывающего непосредственно внутрисуставную поверхность каждой кости. Некомфортные ощущения при этом заболевании возникают именно из-за этого.
Поначалу нарушается кровообращение во всех мелких сосудах. Ухудшается питание сустава. После довольно продолжительного так называемого голодания хрящ истончается, а позже и вовсе разрушается.
Частичное обнажение костей создает между ними некое трение при ходьбе. При этом возникают очень сильные боли. Человек уже не может полноценно согнуть или разогнуть сустав. В самых тяжелых случаях появляются шипы. Из-за этого кость деформируется, что, в свою очередь, приводит к искривлению ноги.
При гонартрозе иногда наблюдается быстрое отложение солей кальция. В результате происходит обызвествление мягких тканей колена. Однако это проявление не выделяется в отдельную клиническую ситуацию. Обычно оно не распространяются непосредственно на сам сустав.
Основные виды заболевания
Данный недуг подразделяют на первичный и вторичный.
Первичный гонартроз коленного сустава 2 степени, лечение которого направлено в основном на устранение неприятной симптоматики, может возникать даже у абсолютно здорового человека. Многие медики считают, что такое заболевание спровоцировано нарушением обмена веществ, наличием излишнего веса, а также возрастными изменениями суставов. Бывают ситуации, в которых первичный гонартроз развился вследствие приема некоторых контрацептивных гормональных препаратов. Также причиной может быть плохая наследственность.
Чаще всего первичным гонартрозом поражаются оба колена, но он может начать развиваться в любом из них. Патологические изменения со временем охватывают весь сустав и переходят на другую ногу. Односторонний недуг может возникнуть при неравномерной нагрузке на ноги.

Вторичный же гонартроз коленного сустава 2 степени, лечение которого должно начинаться своевременно, практически всегда односторонний. Он имеет четко выраженную причину.
Самым распространенным источником считается травма сустава. Это может быть как кровоизлияние в сочленение, так и сильный ушиб или же вывих. Заболевание иногда развивается после некоторых оперативных вмешательств, при различных воспалительных процессах и новообразованиях в колене.
Ситуация может только усугубиться, если вовремя не обратиться к врачу. Также нельзя заниматься самолечением, поскольку зачастую оно в корне неправильно. А это приведет только лишь к еще большим осложнениям.
Основные симптомы
Заболевание начинается с появления болей в суставах после ходьбы, а также физической нагрузки. Но многие люди не придают значения данному симптому, поскольку дискомфорт проходит, если немного отдохнуть. Иногда возникают несильные боли в каком-то одном бедре.
Характеризуют гонартроз коленного сустава симптомы:
- учащение боли в коленном суставе;
- не проходят неприятные ощущения даже после отдыха или сна;
- сильный дискомфорт при нагрузках на колени;
- боли в суставе после долгой ходьбы;
- происходит значительное недоразвитие мышечных тканей в нижней конечности соответствующей стороны;
- появляется некий хруст в колене;
- нарушение основной функции сустава;
- появление первых признаков деформации сочленения.
К тому моменту, когда уже определяется вторая степень гонартроза, заболевание охватывает оба сустава. Односторонний недуг возникает при чрезмерной нагрузке на какую-то одну ногу. В такой ситуации человек неосознанно начинает перекладывать весь свой вес на другую сторону. Вследствие этого развивается дистрофия хрящевой ткани сочленения.
Степени заболевания
Различают несколько степеней заболевания по интенсивности их развития:
- 1 степень (начальная). Довольно незначительные отеки и боли в колене после физических нагрузок. Форма суставов при этом не изменяется.
- 2 степень. Появляется несильный хруст в суставах, боли становятся сильнее. В сочленения чувствуется некая скованность. Очертания коленей начинают внешне потихоньку изменяться.
- 3 степень. Все симптомы проявляются в полной степени. Гонартроз 3 степени коленного сустава характеризуется болью, носящей постоянный характер. Сочленение сильно деформируется и увеличивается в размерах. Человеку становится достаточно трудно ходить.
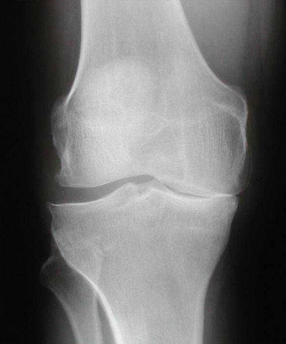
- 4 степень. На рентген-снимках хорошо видна сильная деформация сочленения. Практически полное отсутствие суставной щели. Боль не прекращается, колено ограничено в движениях.
Диагностика недуга
Постановка диагноза особых затруднений не вызывает и осуществляется на основании симптомов, свидетельствующих о стремительном развитии заболевания:
- деформация коленного сустава;
- появление хруста;
- усиление болей;
- ограничение подвижности сустава.
Наиболее четкую картину можно увидеть на рентгенографических снимках. Деформирующий гонартроз коленного сустава второй степени характеризуется специфическими краевыми разрастаниями и сильным сужением щели.
Лечение измененных суставов
Бороться с данным недугом достаточно тяжело. Прежде чем разобрать, как лечить гонартроз коленного сустава, следует уяснить, что болезнь считается неизлечимой. Ведь никто не в силах вернуть сочленениям их былую подвижность. Самое большее, что вообще возможно будет сделать, это лишь немного уменьшить болевые ощущения и попытаться на некоторое время приостановить процесс.
Достичь этих задач позволит только своевременная диагностика заболевания. Однако любое вмешательство будет неэффективным, если не научиться разгружать пораженные суставы.
Лечение гонартроза нужно проводить по строгим правилам. Для этого следует запастись большим терпением. Рекомендовано полностью отказаться от всех вредных привычек, соблюдать специальную диету, по возможности полностью исключить все тяжелые нагрузки.
Медикаментозное лечение
При гонартрозе применяются:
- Нестероидные противовоспалительные средства для снятия боли («Нимесулид», «Мовалис», «Диклофенак» и т. п.).
- Препараты, в составе которых имеются компоненты суставного хряща («Хондроитин-сульфат», «Глюкозамин» и т. д.).
- Лекарственные инъекции в сустав препаратов гиалуроновой кислоты («Синвиск», «Ферматрон», «Дьюралан»). Эта кислота является аналогом суставной смазки, которая покрывает хрящи, уменьшая тем самым трение при движениях в суставе.
Ортопедическое лечение
Используются специальные поддерживающие устройства, которые способны уменьшать нагрузку на сустав. Это может быть как обычная трость, так и жесткие наколенники, а также специальные ортопедические стельки. Такие приспособления подбирает сам врач индивидуально для каждого пациента, опираясь на степень и тяжесть его заболевания.
Хирургическое вмешательство
Если шанса сохранить сустав у пациента уже нет, рекомендуется операция. Гонартроз коленного сустава зачастую лечат комплексной терапией, прибегая к хирургическому вмешательству лишь в крайних случаях.
Существует такой вариант операции, как эндопротезирование. Оно заключается в том, что протезом заменяется весь сустав либо отдельные его части. Операцию чаще всего делают тогда, когда односторонний гонартроз имеет постравматическую природу. Сюда можно отнести разрыв связок, переломы коленного сустава.
Хирургическое лечение проводится только лишь в том случае, когда заболевание не сопровождается остеопорозом. Еще одним табу к операции является повышенная хрупкость костей.
Дополнительные методы
Комплексное лечение дополняется некоторыми достаточно эффективными методами:
- иглоукалывание;
- рефлексотерапия;
- специальный массаж;
- физиотерапия тепловым воздействием и лазером;
- криотерапия;
- лечебная физкультура;
- гирудотерапия;
- УВЧ, электрофорез.
Специальные лечебные упражнения
При гонартрозе коленного сустава полностью исключать физические нагрузки нельзя. Индивидуальная программа лечебной гимнастики поможет укрепить довольно слабые мышцы, окружающие сочленение, а также улучшить кровообращение.
Поскольку суставам нужно движение, то физкультурой следует заниматься постоянно. Во время таких занятий тренируются не только пораженные мышцы, но и весь опорно-двигательный аппарат.
Гимнастика при гонартрозе коленного сустава может выполняться пациентами дома. Но всегда стоит помнить о том, что физические нагрузки на больные суставы разрешено давать лишь в период ремиссии заболевания. Наличие отеков и боли просто сделает нереальными любые движения. Игнорирование данного нюанса может в некоторой мере усугубить состояние.
При гонартрозе строго запрещены приседания, длительная ходьба, бег, напряжение коленных суставов. Они всегда будут вызывать острую боль.
Для каждой степени заболевания применяется свое индивидуальное лечение
1 степень – массаж, легкая лечебная гимнастика, физиотерапия. Для уменьшения нагрузки на суставы рекомендуется снизить вес.
При 2 степени следует максимально снизить нагрузки на сочленения. Назначается физиотерапия, лечебная физкультура. Применяются обезболивающие, противовоспалительные препараты и некоторые хондропротекторы.
Гонартроз 3 степени коленного сустава нуждается в терапевтическом симптоматическом лечении. Пациент может быть направлен на оперативное лечение. При этом удаляются все костные наросты, делается остеопластика хряща. На последней — четвертой — стадии все чаще проводится эндопротезирование сустава.
Используем народные средства
Различные отвары и растирки, сделанные из лекарственных растений, применяются в том случае, если диагностирована 1 или 2 степень такого недуга, как гонартроз коленного сустава. Народные средства при тяжелой степени заболевания, к сожалению, не дадут совершенно никакого эффекта.
Глиняный компресс
Это один из самых распространенных методов борьбы с недугом, широко используемый пациентами, у которых диагностирован гонартроз коленного сустава 2 степени. Лечение подразумевает использование голубой или же красной глины. Ее нужно накладывать только лишь пластмассовым или деревянным шпателем. Никакой контакт с металлом не допускается.
Глина разводится при помощи воды до консистенции жидкой сметаны. Смесь намазывают на ткань. Накладывают ее на больное колено и заматывают целлофаном или же теплым шерстяным платком. Такой компресс держат пару часов, после чего глина смывается.
Настойка из фикуса
Из самого обычного домашнего фикуса готовят специальную настойку от гонартроза. Его листья пропускают через мясорубку и добавляют в них немного водки. Настаивают в течение 3 недель в темном месте. Посуда должна быть очень плотно закрыта.
Прежде всего нужно принять солевую ванну. Приготовленный настой немного подогреть, а затем нанести на пораженный сустав и замотать теплым платком. Делать такой компресс 10 дней подряд.
Общие рекомендации при лечении гонартроза народными средствами
Использование рецептов народной медицины наиболее эффективно на ранних стадиях заболевания. Однако в процессе лечения для усиления лечебного эффекта необходимо придерживаться и других несложных рекомендаций.
В первую очередь, следует соблюдать диету, в которую нужно включить свежие фрукты, овощи, продукты, богатые кальцием, а также первые блюда, приготовленные на крепких отварах костей, различные желе, холодец. Из рациона следует исключить мясо, молоко, свежие помидоры, кислые фрукты. Также необходимо избавиться от вредных привычек: курения и употребления алкогольных напитков.
Питание должно быть частым и дробным, поскольку не рекомендуется переедать, поскольку это может вызвать увеличение массы тела, что также крайне нежелательно. В период лечения следует снизить физические нагрузки на пораженный сустав, ограничить прогулки на длительные расстояния.
Особенности лечения народными средствами
Рецепты, используемые при лечении гонартроза, прошли испытание временем, ведь на протяжении веков они помогали избавиться от этого недуга многим больным. И сегодня эти средства не потеряли своей актуальности. Наиболее эффективными являются согревающие компрессы и растирания, которые помогают снять воспаление, уменьшить отек и облегчить боли.
Средство 1
Смешать 100мл водки со стаканом черной редьки с медом, добавить 15г поваренной соли. Состав втирать в пораженные суставы ежедневно, пока не наступит облегчения.
Средство 2
150мл чистого неразбавленного скипидара соединить с чистым спиртом и прованским маслом, которые взять также по 150мл. Добавить 5-8 капель камфары. Состав также втирать в пораженную область.
Каштан
Полезны растирать больное колено настойкой цветков каштана. Для ее приготовления необходимо залить горсть цветков поместить в темный стеклянный сосуд и залить пол литра водки. Смесь настаивать не меньше недели, после чего можно использовать по назначению.
Лопух
Гонартроз коленного сустава в самом его начале можно вылечить компрессами из предварительно размоченного листа лопуха. Его следует аккуратно поместить на пораженное колено, после чего обернуть пищевой пленкой и укутать теплым платком.
Мед
Популярны и эффективны компрессы из натурального меда или настойки прополиса, поскольку продукты пчеловодства обладают уникальными свойствами. Лечение этим продуктом способствует снятию воспаления и устранению отека и боли.
Фикус
Гонартроз коленного сустава прекрасно лечится настойкой из фикуса. Для ее приготовления следует промыть лист домашнего фикуса, измельчить его с помощью блендера и смешать со 100мл водки. После трехнедельного настаивания полученный состав необходимо процедить и поместить в темную стеклянную тару, которую следует хранить в холодном месте.
Перед нанесением состава на пораженную область необходимо принять солевую ванну (из расчета 300г морской соли), после чего втереть настойку, подогретую до комнатной температуры, и укутать колено.
Топинамбур
Многие целители рекомендуют лечить гонартроз коленного сустава топинамбуром. Полтора килограмма плодов растения следует измельчить и смешать с 8л крутого кипятка. Состав выдержать под крышкой, пока не станет теплым, после чего опустить туда на полчаса пораженное колено. Процедуру следует повторять ежедневно вечером в течение 10 дней.
Одуванчик
Если имеется возможность собирать листья и цветки одуванчика, то можно использовать это растение для лечения заболевания. Для этого следует в посуду из темного стекла до середины засыпать цветки растения, и дополнить до верха тройным одеколоном. Полученную смесь настаивать в течение месяца, спустя который настойку процедить и втирать в пораженное колено.
Одновременно ежедневно следует разжевывать и съедать не менее пяти листков растения, свежих или сушенных (предварительно размоченных в теплой воде) значения не имеет.
Лечение народными средствами предполагает использование не только растираний и компрессов. Гонартроз коленного сустава прекрасно лечится средствами, которые следует принимать внутрь. Эффективным средством является такой состав.
Состав для приема внутрь
Следует подготовить 3 лимона, 250г корня сельдерея и 120 г сухого чеснока. Все компоненты тщательно измельчить с помощью мясорубки, смешать и поместить в трехлитровую банку. Смесь доверха заливают кипятком и оставляют на ночь в укутанном состоянии.
Лечение рассчитан на 3 месяца, в течение которого следует выпить 3 банки настоя. Принимать следует по 70мл ежедневно за 30 минут до утреннего приема пищи. Начинать лечение нужно с одноразового приема, постепенно доводя до трехразового применения.
Народное исцеление гонартроза
Один юноша болел гонартрозом. Стал принимать огромное количество пилюль, из-за чего посадил для себя печень. С каждым месяцем ему все труднее было передвигаться, по лестнице, он уже совершенно не мог подниматься и спускаться. Он и его родственики не знали, что делать, его суставы совершенно дали сбой. В один прекрасный момент его подруга дала подсказку ему рецепт народного исцеления гонартроза. которым она сама вылечила собственного супруга. У того в свое время тоже были огромные трудности с передвижением из-за нездоровых суставов.
Для изготовления средства по этому рецепту возьмите красноватую либо голубую глину. Но не запамятовывайте, что если вы будете набирать глину железной ложкой, то все целебный характеристики пропадут. Потому используйте только ложку из дерева.
Перед тем как лечиться, возьмите мокроватую салфетку и протрите ей сустав. В глину добавьте воды – так, чтоб у вас вышла густота сметаны. Положите в два слоя древесной ложкой глину на хлопчатобумажную тряпочку. У вас должна получиться разложенная глина приблизительно в два сантиметра шириной. Приложите этот компресс к нездоровому суставу, забинтуйте и замотайте шарфом из шерсти. Так держите компресс в течение 2-ух часов.
После проделанной процедуры помойте сустав теплой водой, чтоб смыть оставшуюся глину, тряпочку, которую использовали, постирайте, и в последующий раз можно опять её применить. А глину, которую прикладывали, выбросьте. При отеках для вас будет нужно сделать около 5 таких примочек в денек попорядку. Также для вас нужно через каждый час принимать глиняную воду.
Исцеление гонартроза коленного сустава
Существует неплохой народный способ исцеления гонартроза. Для этого рецепта для вас пригодится в мае каждый денек рвать 5 листков одуванчика. Листки нужно рвать сверху. Потом нужно помыть эти листки водой, но не обыкновенной, а кипяченой, позже подсушить их и пожевать до смеси сметаны.
Можно сорвать листки и положить их на зимнее время. А когда будет нужно – просто залить их жаркой водой и жевать один раз в денек. При всем этом для вас необходимо ходить раз в день 3000 шагов.
В летнее время поможет таковой рецепт. Возьмите 5 бутылок из темного стекла, заполните их до половины головками одуванчиков. которые ещё желтоватые. Сверху залейте тройной одеколон. Необходимо дать средству настояться месяц, а позже процедить. Протирайте таким лекарством нездоровые суставы на ночь, перед тем как ложитесь спать. Я лечилась в течение месяца – и боли проходили, становилось намного лучше. Одной бутылки для вас хватит на месяц. Если не желаете, чтоб болезнь ворачивалась, протирайте нездоровые суставы этим средством раз в день по дважды и жуйте одуванчики, как описывалось выше. Настойку из одуванчиков нужно хранить в сухом месте при комнатной температуре.
Отвар из листьев топинамбура
При гонартрозе для вас поможет последующее традиционное средство. Возьмите полтора килограмма листьев и стеблей топинамбура, за ранее измельчите их, залейте в эмалированной посуде восемью-десятью литрами кипяточка, настаивайте состав до того времени, пока температура воды не станет терпимой для кожи, но так, чтоб она не остыла очень. А позже обмакните в посуду нездоровой сустав.
У человека, к примеру, болит рука, и он практически стопроцентно запихнул руку в настой. Так подержите около получаса. Чтоб вылечить болезнь для вас необходимо сделать так около 10 раз.
Также для вас поможет ещё один способ. Возьмите копыта и коленца говядины и проварите их в воде до того времени, пока мясо не будет отлично отделяться от костей. Этот отвар нужно пить по 100–200 граммов за полчаса до каждого приема еды до того времени, пока на сто процентов не излечитесь.
Исцеление гонартроза настоем
Данный способ исцеления гонартроза поможет для вас вылечить деформирующий артроз и гонартроз. Для этого возьмите три лимона, 100 20 граммов чеснока, двести 50 граммов корня сельдерея. Заместо сельдерея можно просто использовать крапиву. Всё пропустите через мясорубку и смешайте. Положите данный состав в трехлитровую банку и залейте кипяточком до самого верха банки. Поставьте состав на ночь, укутав его в теплое одеяло.
Употребляйте настой за полчаса перед едой по 70 граммов раз в день, начиная с утреннего приема и равномерно доводя приём до 3-х раз в денек. Для полного курса исцеления гонартроза для вас необходимо сделать три трехлитровых банки настоя и использовать их. Одной банки хватает на месяц.
Целебный компресс при гонартрозе
При гонартрозе возьмите три столовых ложки яблокового уксуса, одну столовую ложку меда, смешайте эти ингредиенты и смажьте нездоровое место. Поверх положите листья лопуха и капусты. Они должны быть свежайшие. Если есть, то, естественно, лучше возьмите лист алоэ. Потом положите целофан и оберните теплой тканью.
Этот компресс делается на ночь, перед тем как ложитесь спать. Попытайтесь не снимать компресс до того времени, пока листы не высохнут, но на это уйдет некоторое количество дней. Курс народного исцеления – один месяц.
Как вылечить гонартроз
У дамы был гонартроз коленного сустава. Она вылечивала болезнь последующим народным средством. Нужно сорвать травку темных бобов, когда она цветет, порезать её и дать подсохнуть в черном месте.
Когда гонартроз даст о для себя знать, возьмите сухую травку, залейте кипяточком и оставьте в термосе в течение 6 часов. Употребляйте как чай в течение месяца, а позже сделайте перерыв на один месяц. Обычно боли обостряются по озари. Потому лечитесь осенью – и весь год сустав болеть не будет.
Для проведения полного курса исцеления гонартроза приготовьте пятилитровое ведро таковой сушеной травки.
Источник: Газета ЗОЖ, всеукраинская газета-целительница «Бабушка»
Лечение гонартроза народными средствами в домашних условиях
По последнему пункту причин (плохая циркуляция крови) по теории возможно ее усиление, так сказать возможен ее искусственный приток при помощи народных средств…
Народные методы лечения артроза коленного сустава включают в себя использование настоев, отваров, мазей и компрессов, приготовленных самостоятельно.
Компресс из хрена
Измельченную на терке кашицу хрена опустить в кастрюльку с водой, поставьте ее на средний огонь. Не дайте воде закипеть, хрен должен лишь распариться. Смочите холщовую ткань в растворе, а затем выложить размягченную кашицу сверху. Прикладывайте распаренный хрен к ослабленному колену.
На зиму можете запастись высушенными корнями хрена. Чтобы при возобновлении болей у вас было чем дать боли отпор. Такой компресс облегчает боль и снимает воспаление в суставе.
Компресс против гонартроза
Когда ваш гонартроз еще не принял запущенное состояние, это поможет вам в излечении. Возьмите:
- нашатырный спирт (10%-ный)
- медицинский йод (5%-ный)
- мед, глицерин
- медицинскую желчь
Компоненты в равных соотношениях перемешать и затем настаивать в защищенном от солнечных лучей месте 10 дней. Взболтав смесь, затем отделив часть раствора в банку, прогрейте на пару.
Перед сном, подготовив раствор для компресса, смочите салфетку и положите на сустав. Колено оберните целлофаном и шерстяной тканью. Такой компресс следует применять перед каждой ночью до ухода болей.
Настой против гонартроза из одуванчиков
Взять стеклянную бутылку темного цвета и до половины заполнить ее цветками желтых одуванчиков. Заливаем чистой водкой, закрываем и настаиваем в течении одного месяца. Далее этим настоем перед каждым сном натираем колени до исчезновения боли.
В таком темпе у вас в течении месяца должна израсходоваться одна бутылка спиртового настоя, и боли в разы уменьшаются или вовсе проходят. Но, тем не менее, в качестве профилактики рекомендуется продолжать и натирать им раз в день колени.
Также как альтернативу можно жевать цветы одуванчика (сухие) до превращения их в кашицу. Либо же заливать кипятком и употреблять по 1 столовой ложке в день.
Настойка сабельника
Сабельник это отличный помощник при многих болезнях суставов. За что получил второе название — суставка. Для получения настоя возьмите:
- 50 г измельченных засушенных стеблей и корней растения
- 0,5 литрами водки
Сабельник залить водкой и наставить в течении месяца в темном месте. Во время процесса жидкость надо периодически встряхивать.
При лечении настойку принимают 3 раза в день. Во время первых приемов настойки возможно незначительное повышение давления. Настойку принимать до ожидаемого результата. Первое улучшение состояния сустава наступает приблизительно не ранее 14 дневного применения.
Мазь на основе мумиё
Мумиё — действенное средство при многих болезнях. И если вы в процессе лечения артроза коленного сустава, лечение на его основе будет действенным дополнением к основному курсу.
Смешать 5 грамм мумиё и 100 грамм меда. Не забудьте заблаговременно смазать растительным маслом кожу рук, чтобы мазь не приставала. Втирайте мазь в коленный сустав, не слишком надавливая и не усиливая боль. Повторяйте растирание пять-семь раз в сутки.
В концепции народных методов лечения гонартроза входит также внутренний прием мумиё. Это будет оказывать силу на восстановление тканей хряща. Каждое утро нужно принимать 0,2 г этого лекарства десять дней подряд примерно за 30 минут до еды.
Лечение артроза глиной
Для приготовления средства по этому рецепту возьмите красную или голубую глину. Но не забывайте, что если вы будете набирать глину металлической ложкой, то все лечебный свойства пропадут. Поэтому используйте только ложку из дерева.
Перед тем как лечиться, возьмите влажную салфетку и протрите ей сустав. В глину добавьте воды – так, чтобы у вас получилась густота сметаны. Положите в два слоя деревянной ложкой глину на хлопчатобумажную тряпочку. У вас должна получиться разложенная глина примерно в два сантиметра толщиной. Приложите этот компресс к больному суставу, забинтуйте и замотайте шарфом из шерсти. Так держите компресс в течение двух часов.
После проделанной процедуры промойте сустав теплой водой, чтобы смыть оставшуюся глину, тряпочку, которую использовали, постирайте, и в следующий раз можно снова её применить. А глину, которую прикладывали, выбросьте. При отеках вам потребуется сделать около пяти таких примочек в день подряд. Также вам необходимо через каждый час принимать глиняную воду.
Чистотел
Чистотел — замечательное лекарственное растение, которое чаще всего используют при различных кожных заболеваниях, но его также можно применять для лечения остеоартроза, а в нашем конкретном случае гонартрозе. Мелко нарезать несколько стеблей чистотела – чтобы получилась одна чашка. Отправить чистотел в чистую стеклянную банку, а затем налейте в нее 250 мл растительного масла (желательно сыродавленое или хотя бы нерафинированное). Закрыть и отправить ее на две недели в темное, прохладное место. После этого масло нужно процедить, и регулярно втирать в больные коленные суставы. Такой подход обычно начинает действовать не сразу, а лишь через одну-две недели после начала, зато он дает довольно стойкий обезболивающий лечебный эффект. Конечно, такое масло, как и другие народные средства, помогают лишь на ранних стадиях развития гонартроза — при тяжелых формах этого заболевания, как правило, не обойтись без хирургической помощи.
Гирудотерапия
Лечебные свойства пиявок описывали еще Гиппократ, Авиценна, и многие другие знаменитые ученые древности. Пиявок используют для лечения таких заболеваний, как опоясывающий лишай, фурункулы и абсцессы, тромбофлебит, гипертония, гипертиреоз, холецистит и различные виды артроза, включая и гонартроз. Слюна, которую выделяют пиявки, содержит около шестидесяти белков, обладающих самыми разнообразными свойствами. Пиявки при гонартрозе используются из-за обезболивающих и противовоспалительных свойств некоторых компонентов слюны. Действие слюны отчасти подобно эффекту местных анестетиков — у пациента существенно снижается чувствительность в области укуса пиявки. Этот эффект длится недолго, а вот противовоспалительные вещества могут на довольно длительный срок облегчить симптомы гонартроза.
Одна процедура гирудотерапии обычно длится от 20 до 40 минут. За это время пиявки потребляют от 10 до 15 мл крови, а размер их тела увеличивается в 8-11 раз. Гирудотерапия противопоказана людям, больным раком, гемофилией, тяжелыми формами анемии, и беременным женщинам. Осложнениями гирудотерапии бывают инфекции, вызванные микроорганизмами, переносчиками которых могут быть пиявки, аллергические реакции, некроз тканей и образование язв в результате воздействия некоторых веществ, содержащихся в слюне пиявок (последнее осложнение встречается редко, как правило, у людей с индивидуальной непереносимостью).
Мед и уксус
Компресс для снятия боли и воспаления. Возьмите:
- мед (1 ст. ложка)
- яблочного уксуса (3 ст. ложки)
Смешайте и наложите полученную массу на больное колено, укутать полиэтиленовой пленкой и теплой тканью. Рекомендует втирать мед в пораженную область, так как этот полезный продукт обладает ярко выраженным антисептическим действием. Также тут будет уместно прикладывание к больному суставу лист подорожника или капусты.
Апитерапия
Апитерапия воздействует непосредственно на причину развития заболевания, активизирует физиологические процессы, протекающие в организме человека, поэтому достигаемый при ее применении лечебный эффект отличается стойкостью, а рецидивы возникают крайне редко. Но не следует заниматься апитерапией самостоятельно. Апитоксин является сильнейшим аллергеном, чувствительность к которому различна для каждого человека. Поэтому перед началом лечения следует провести биологическую пробу, позволяющую выявить чрезмерную чувствительность к пчелиному яду. Во время апитерапии следует регулярно контролировать анализы крови и мочи
Противопоказаниями к проведению апитерапии являются: инфекционные заболевания, заболевания внутренних органов в стадии обострения, повышенная кровоточивость, индивидуальная непереносимость пчелиного яда
Перекись водорода
Профессор И.П. Неумывакин является автором данной теории, согласно которой в качестве лекарственного средства от артрита используется пероксид. Средство принимается внутривенно и внутрь. Еще в 70-е годы профессор начал исследования, результаты которых показали, что даже безнадежно больные пациенты смогли стать на ноги благодаря перекиси водорода. Этим средством были исцелены неизлечимые недуги. Неумывакин обнародовал свою теорию, согласно которой такой простейший препарат, как H2O2, эффективно борется с болезнью Паркинсона, побеждает склероз, рак, диабет, артроз и даже СПИД.
В 1975 году Иван Павлович Неумывакин получил Государственную премию за изобретение лекарственного препарата фенибут. Это средство сначала использовалось для снятия перегрузки у космонавтов. Сейчас фенибут применяется перед операционным вмешательством в качестве релаксанта, а также при лечении бессонницы и невротических состояний.
Неумывакин опробовал на себе перекись водорода. Для лечения необходимо принимать это вещество внутривенно и внутрь. Лечение пероксидом, по его словам, избавило его от артроза, атеросклероза и гипертонии.
Как рекомендует сам Иван Павлович на столовую ложку воды капается одна капля перекиси водорода и выпивается – это в первый день. Во второй день – две капли, в третий три… И так до десяти, затем три дня отдыха и сразу с десяти капель начинаете прием. Сейчас же Иван Павлович говорит что на каждый стакан добавлять 1 чайную ложку перекиси (на каждый стакан выпитой воды в сутки). Как он также рекомендует, воды в день человек должен потреблять приблизительно 1,5 литра. Принимать перекись до наступления улучшения.
Принимать перекись нужно за полчаса до еды, или через час-два после еды.
Содово-соляные ванночки
При артрозе мелких суставов рук и ног можно делать содово-соляные ванночки – то есть, просто парить ноги или руки в тазике с солью и содой.
Лечить суставы такой ванночкой очень просто: добавьте в тазик с горячей водой 3 ст. л. соли и 3 ст. л. соды, опустите руки или ноги в воду, легкими движениями массируйте суставы. После процедуры наденьте теплые носки или перчатки.
Ванна с травами
Вам понадобится:
- 3 ст. л. зверобоя,
- 3 ст. л. душицы,
- 2 ст. л. календулы,
- 4 с. л. крапивы,
- 1 ст. л. болиголова,
- 1 ст. л. корня лопуха,
- 500 г глины.
Смешайте травы и залейте кипятком, через час добавьте глину и хорошо перемешайте. Вылейте в ванну, наполните горячей водой. Принимайте ванну 15–20 минут. Курс – 8 процедур через день.
Важно знать при артрозе
При таком заболевании суставов, как артроз, народные методы лечения крайне желательно комбинировать с комплексным лечением, назначенным врачами. Порой, применяя естественное природное лечение, артроз коленного сустава излечивается быстрее, чем при использовании традиционных медицинских препаратов и процедур. Но пренебрегать рекомендациями официальной медицины никогда нельзя.
Народное лечение гонартроза
Один парень болел гонартрозом. Стал принимать множество таблеток, из-за чего посадил себе печень. С каждым месяцем ему все сложнее было передвигаться, по лестнице, он уже совсем не мог подниматься и спускаться. Он и его родственики не знали, что делать, его суставы совсем дали сбой. Однажды его подруга подсказала ему рецепт народного лечения гонартроза, которым она сама вылечила своего мужа. У того в свое время тоже были большие трудности с передвижением из-за больных суставов.
Для приготовления средства по этому рецепту возьмите красную или голубую глину. Но не забывайте, что если вы будете набирать глину металлической ложкой, то все лечебный свойства пропадут. Поэтому используйте только ложку из дерева.
Перед тем как лечиться, возьмите влажную салфетку и протрите ей сустав. В глину добавьте воды – так, чтобы у вас получилась густота сметаны. Положите в два слоя деревянной ложкой глину на хлопчатобумажную тряпочку. У вас должна получиться разложенная глина примерно в два сантиметра толщиной. Приложите этот компресс к больному суставу, забинтуйте и замотайте шарфом из шерсти. Так держите компресс в течение двух часов.
После проделанной процедуры промойте сустав теплой водой, чтобы смыть оставшуюся глину, тряпочку, которую использовали, постирайте, и в следующий раз можно снова её применить. А глину, которую прикладывали, выбросьте. При отеках вам потребуется сделать около пяти таких примочек в день подряд. Также вам необходимо через каждый час принимать глиняную воду.
По теме: О пользе холодца и куриных хрящей для суставов
Лечение гонартроза коленного сустава
|
Существует хороший народный метод лечения гонартроза. Для этого рецепта вам понадобится в мае каждый день рвать пять листков одуванчика. Листки надо рвать сверху. Затем необходимо промыть эти листки водой, но не обычной, а кипяченой, потом подсушить их и пожевать до консистенции сметаны. Можно сорвать листки и положить их на зимнее время. А когда потребуется – просто залить их горячей водой и жевать один раз в день. При этом вам нужно ходить ежедневно 3000 шагов. В летнее время поможет такой рецепт. Возьмите 5 бутылок из темного стекла, заполните их до половины головками одуванчиков, которые ещё желтые. Сверху залейте тройной одеколон. Нужно дать средству настояться месяц, а потом процедить. Протирайте таким лекарством больные суставы на ночь, перед тем как ложитесь спать. Я лечилась в течение месяца – и боли проходили, становилось намного лучше. Одной бутылки вам хватит на месяц. Если не хотите, чтобы болезнь возвращалась, протирайте больные суставы этим средством ежедневно по два раза и жуйте одуванчики, как описывалось выше. Настойку из одуванчиков необходимо хранить в сухом месте при комнатной температуре. |
Отвар из листьев топинамбура
|
При гонартрозе вам поможет следующее народное средство. Возьмите полтора килограмма листьев и стеблей топинамбура, предварительно измельчите их, залейте в эмалированной посуде восемью-десятью литрами кипятка, настаивайте состав до тех пор, пока температура воды не станет терпимой для кожи, но так, чтобы она не остыла сильно. А потом окуните в посуду больной сустав. У человека, например, болит рука, и он почти полностью засунул руку в настой. Так подержите около получаса. Чтобы вылечить болезнь вам нужно сделать так около десяти раз. Также вам поможет ещё один метод. Возьмите копыта и коленца говядины и проварите их в воде до тех пор, пока мясо не будет хорошо отделяться от костей. Этот отвар необходимо пить по 100–200 граммов за полчаса до каждого приема пищи до тех пор, пока полностью не вылечитесь. |
По теме: Настойки для лечения суставов — рецепты и способы приготовления
Нашли ошибку в тексте? Выделите ее и еще несколько слов, нажмите Ctrl + Enter
Лечение гонартроза настоем
|
Данный метод лечения гонартроза поможет вам вылечить деформирующий артроз и гонартроз. Для этого возьмите три лимона, сто двадцать граммов чеснока, двести пятьдесят граммов корня сельдерея. Вместо сельдерея можно запросто использовать крапиву. Всё пропустите через мясорубку и смешайте. Положите данный состав в трехлитровую банку и залейте кипятком до самого верха банки. Поставьте состав на ночь, укутав его в теплое одеяло. Употребляйте настой за полчаса до еды по семьдесят граммов ежедневно, начиная с утреннего приема и постепенно доводя приём до трех раз в день. Для полного курса лечения гонартроза вам нужно сделать три трехлитровых банки настоя и использовать их. Одной банки хватает на месяц. |
По теме: Какие продукты полезны при артрозе?
Лечебный компресс при гонартрозе
|
При гонартрозе возьмите три столовых ложки яблочного уксуса, одну столовую ложку меда, смешайте эти ингредиенты и смажьте больное место. Поверх положите листья лопуха и капусты. Они должны быть свежие. Если есть, то, конечно, лучше возьмите лист алоэ. Затем положите полиэтилен и оберните теплой тканью. Этот компресс делается на ночь, перед тем как ложитесь спать. Попробуйте не снимать компресс до тех пор, пока листы не высохнут, но на это уйдет несколько дней. Курс народного лечения – один месяц. |
По теме: Другие эффективные домашние средства
Как вылечить гонартроз
|
У женщины был гонартроз коленного сустава. Она лечила заболевание следующим народным средством. Необходимо сорвать траву черных бобов, когда она цветет, порезать её и дать подсохнуть в темном месте. Когда гонартроз даст о себе знать, возьмите сухую траву, залейте кипятком и оставьте в термосе в течение шести часов. Употребляйте как чай в течение месяца, а потом сделайте перерыв на один месяц. Обычно боли обостряются по осени. Поэтому лечитесь осенью – и весь год сустав болеть не будет. Для проведения полного курса лечения гонартроза приготовьте пятилитровое ведро такой сушеной травы. |
Источник: Газета ЗОЖ, всеукраинская газета-целительница «Бабушка»

