По своему обыкновению, суставная щель коленного сустава – имеет особенность сужаться, при таких заболеваниях, как – гонартроз, остеоартроз колена.
Исследования показали, что это приводит к еще более быстрому и масштабному износу хряща, снижению упругости и эластичности хрящевой ткани, а так же постепенному ее разрушению. Совестно с вышеперечисленными процессами, идет деформация и перестройка костной ткани коленного сустава. Происходит образование шипов, ограничивающих двигательные функции в организме человека. Движение ограничено, а больной переживает сильные боли. Если не лечить сопутствующие заболевания, может развиться необратимый патологический процесс. Произойдет полное разрушение хрящевой ткани, обнажение костей, образовании шипов и деформации.

Итак, как определить качественный рентгеновский снимок:
- Оба мыщеблока бедренной кости, а точнее их аксиальные стороны, должны быть симметричны;
- Межмыщелковые возвышения должны располагаться по центру межмыщелковой ямы;
- Вероятность осмотра надколенного бедренного сочленения и бугорков большой берцовой кости;
- Контуры надколенника накладываются на центральную часть метаэпифиза бедренной кости;
- Маскирование головки частичным образом у малой берцовой кости метаэпифизом большой берцовой кости (в соотношении на 1/3 поперечного размера);
На расстоянии поверхностей костей на рентгене видна суставная щель, называемая – рентгеновская. Она носит такое название, потому, что видна только на рентгене – в виде полупрозрачной полоски между поверхностями, так как заполнена хрящом и прослойкой.
Контуры рентгеновской щели, внутренние и наружные, имеют разную кривизну в прямой и проекции. Именно потому, они не могут распознаваться – как идеально ровная и цельная линия на одном снимке. Снимок, который выполнялся в условиях максимального разгибания колена – считается стандартизированным для передней и задней проекций. Он дает возможность провести исследование в области передней области щели сустава.
Снимки прямого плана, сделанные под углами в 30° – уложение Шусса или в 45° – укладка Фика, делаются для проведения оценки состояния задней области. На таком уровне в большинстве случаев и происходит обнаружение повреждений отделов костей субхондральной области, так называемые – остеонекрозы, а так же повреждения хрящевых структур – остеохондриты.
Такого рода укладки чашечки колена дают возможность обнаружить инородные свободные тела в суставной полости, которые образуются в результате повреждений хрящей и тканей.
Содержание
- Методы лечения коксартроза
- Лечение коксартроза по Бубновскому
- Лечение двухстороннего коксартроза
- Коксартроз 2 степени: лечение
- Лечение коксартроза 3 степени
- Коксартроз 1 степени: лечение
Сегодня встретить такой диагноз, как коксартроз не так сложно, болезнь набирает обороты и все чаще диагностируется как у пожилых, так и молодых людей.
Что представляет собой заболевание? Является хронической патологией, вследствие которой наблюдается повреждение тазобедренного сустава (ТБС) и последующее его разрушение. Назвать точную причину развития достаточно сложно, однако существует определенный фактор, который определяется, как постоянное травмирование суставного соединения и острое нарушение питания его структур. По мере прогрессирования поверхность сустава становится тоньше, деформируется, пространство между концами костей (суставная щель) сужается, а вскоре и вовсе исчезает.
Артроз ТБС склонен развиваться у людей различной возрастной категории, исключением лишь являются дети дошкольного возраста. По статистике у мужчин патология проявляется чаще в силу более активного образа жизни и повышенных физических нагрузок. Максимальный процент заболеваемости у пожилых пациентов в связи с ухудшением питания хрящевой ткани.
Полезно знать! В случае развития коксартроза единственным методом лечения, способным полностью его устранить, является хирургическое вмешательство. Операция, которая назначается при артрозе ТБС, имеет название эндопротезирование. К патологии не склонны дети до 2 лет, диагностируется очень редко. Явление связано с минимальной нагрузкой на сустав.
До сих пор статистика не отличается положительной тенденцией. Среди всех дегенеративно-дистрофических изменений суставного соединения 50% приходится на крупные сочленения, при этом половину — 25% составляет деформирующий процесс ТБС.
После многочисленных исследований специалистами в области ортопедии были получены такие результаты:
- Артроз ТБС неустановленной этиологии составляет 40% от общего числа диагнозов.
- Патология вторичного типа развивается в 20%.
- Оставшиеся 40% — следствие полученных травм, в ходе физических нагрузок, оперативных вмешательств и тому подобное.
В последнее время ярко выраженная тенденция «омоложения» заболевания, все чаще диагностируется у людей среднего трудоспособного возраста. Поэтому профилактика и своевременное лечение крайне важны.
Особое внимание стоит уделить диспластическому коксартрзу, который развивается на фоне дисплазии ТБС. Очень часто диагностируется у людей в возрасте 25 лет и старше, после прекращения спортивной карьеры или в период беременности. Крайне важно начать своевременное лечение, что поможет избежать инвалидности.
| Стадийность | Данные согласно рентгенологии | Симптоматическая картина |
| Первая стадия |
|
|
| Вторая стадия |
|
|
| Третья стадия |
|
|
При нормальных условиях, когда патологии нет, поверхности сустава в ТБС полностью друг другу соответствуют, что и позволяет распределять нагрузку равномерно. Когда вторгаются патогенные факторы, происходит процесс деформации, ткани сустава подвергаются разрушению, как следствие, соразмерность нагрузки нарушается.
Существуют следующие типы болезней в зависимости от причины возникновения:
- коксартроз на фоне возрастных изменений (старческий);
- патология врожденного типа (диспластический);
- развитие на фоне травмирования;
- образование в ходе инфекционного процесса;
- вследствие остеохондропатии головки бедренной кости;
- неустановленной этиологии (самостоятельный).
Основная клиническая картина основана на появлении болевого синдрома, который выражен к концу дня. Далее по мере прогрессирования можно заметить, как боль начинает вас сопровождать в течение всего дня, утихает после длительного отдыха, а затем начинает проявляться и в ночное время.
Начинается активный процесс атрофии мышечной ткани, что приводит к затруднению ходьбы, позже конечности теряют одинаковую длину — со стороны патологии наблюдается укорочение, присоединяется хромота. Сустав постоянно подвергается разрушению, за счет чего полностью утрачивает свои функциональные способности.
Когда диагностированы только зачатки недуга, вполне адекватной терапией считается консервативная, которая заключается в применении медикаментов, массажа, ЛФК в домашних условиях.
Также до сих пор остается важным аспектом диагностирование коксартроза у беременных пациенток. Сразу стоит отметить, что такой диагноз не является приговором и, тем более, не исключает рождение здорового ребенка. Естественно, придется соблюдать некоторые рекомендации и советы врача-ортопеда. В большинстве случаев рекомендуется кесарево сечение, что позволяет снизить риск для будущей матери к минимуму.
Симптоматика патологии при беременности имеет более выраженный характер за счет роста плода и увеличения нагрузки, а также давления на ТБС. Лечение в таком случае будет заключаться в приеме медикаментозных препаратов, исключительно подобранных лечащим врачом. Существуют некоторые типы обезболивающих препаратов, которые в одинаковой степени не несут угрозы ребенку и матери, для их назначения следует обратиться к ортопеду, а после к гинекологу.
Методы лечения коксартроза
Максимально высокий процент терапевтического эффекта возможно достичь при терапии артроза ТБС на ранних стадиях обнаружения. В таком случае наблюдаются минимальные структурные нарушения, а сам сустав еще способен выполнять в полной мере свою задачу.
Основные методики лечения патологического процесса делятся на консервативные мероприятия и оперативные.
Консервативные способы лечения представляют собой применение следующего:
- лекарственные препараты, направленные на обезболивание и торможение процесса разрушения суставной ткани;
- лечебный массаж для увеличения эффекта от медикаментов;
- физиолечение (УВЧ, аппликации, грязевые ванны);
- комплекс лечебной физкультуры для того, чтобы бедро оставалось в тонусе;
- рецепты народной медицины как дополнение к вышеуказанным.
Стоит отметить и новые технологии в физиотерапевтическом воздействии на организм, такие как хилт-импульс, КВЧ терапия.
Терапия медикаментозными средствами является основной лечения коксартроза, ее принимают как при ранних стадиях болезни, так и при запущенных. Ниже представлены препараты, чаще всего назначаемые. Обратите внимание, что самостоятельное применение их может усугубить течение патологии. Любое лекарство должно назначаться только лечащим врачом на консультативном приеме. Какими лекарственными средствами происходит воздействие на артрозные болезни?
| Медикаментозный препарат | Группа, действующее вещество | Каким образом воздействует, эффект от применения |
| Противовоспалительные нестероидного происхождения | Диклофенак (мази, таблетки) | Основное действующее вещество — диклофенак. Препараты обладают противовоспалительным эффектом, купируют болевой синдром, снимают воспаление в области сустава, увеличивают амплитуду движения. |
| Ортофен | ||
| Диклак | ||
| Мовалис | Действующее вещество — мелоксикам, однако, также относится к средствам группы НПВП. Обладает выраженным болеутоляющим эффектом, действует непосредственно на сам очаг, за счет чего развитие побочных эффектов снижается к минимуму. Возможен длительный прием. | |
| Хондропротекторы (симптоматические средства) | Хондроитин | Являются хондропротекторами выраженного действия. Предотвращают дегенерацию хряща, оказывают положительное влияние независимо от места заболевания суставов, будь- то позвоночника или кисти рук. Предназначенные для сохранения целостности суставной ткани и, следовательно, для замедления прогрессирования заболевания артрозного типа. |
| Терафлекс | ||
| Артрон Комплекс | ||
| Для улучшения микроциркуляции | Агапурин (Вазонит, Трентал) | Действующие компоненты, направленные на снижение вязкости крови и устранение спазма сосудов. Вследствие чего, сустав получает больше питательных веществ. |
| Миорелаксанты центрального воздействия | Мидокалм (Тизанил) | Снижают патологический гипертонус, расслабляют мышцы, за счет чего устраняется спазм и купируется боль. |
Пациенту, который решил проходить лечение исключительно медикаментозное, необходимо понимать, что прием исключительно лекарственных средств, по большому счету, будет малоэффективным. Следует комплексно подходить к проблеме и сочетать несколько консервативных способов, к примеру, физиотерапевтические процедуры.
Физиотерапия при различных типах артрозов, в случае, когда течение патологии не запущено, имеет достаточно неплохой терапевтический эффект, в частности, когда она дополняется медикаментозной.
Сущность такого воздействия заключается в применении ультразвука и электромагнитных волн в дополнение к лекарственным средствам. Наиболее популярные следующие:
- электрофорез с лекарствами для обезболивающего действия;
- ультразвуковая терапия (УЗТ);
- магнитотерапия (использование постоянного и переменного магнитного поля).
Все описанные методики обладают болеутоляющим, противовоспалительным эффектами, снимают спазм и повышают тонус мышечной ткани.
Как и любые другие методы лечения, физиотерапия имеет свои показания и противопоказания. При выборе определенной методики предварительно следует проконсультироваться с лечащим врачом.
Лечение коксартроза по Бубновскому
Согласно статистическим данным ортопедии, практически каждая вторая болезнь суставов отводится на коксартроз. При постановке такого диагноза пациент впадает в панику, понимая, что операционного стола не избежать. Конечно, когда болезнь запущена, процесс прогрессирования патологии усиленно разрушает сустав, а лечение препаратами не дает длительного эффекта — эндопротезирование станет наиболее благоразумным вариантом. Но, в случае, когда процесс удалось выявить на ранних сроках, избежать хирургии вполне реально.
В настоящее время довольно-таки важное место занимает комплекс лечебных упражнений от доктора Бубновского. Занятия направлены на возобновление баланса в организме больного и улучшение функции опорно-двигательного аппарата. Немало больных утверждали, что после 3-5 занятий по методу Бубновского в домашних условиях ощутили улучшение общего состояния здоровья и уменьшение выраженности болевого синдрома. В комплекс упражнений входят занятия как для детей, взрослых, так и для пожилых людей. Также врач разработал упражнения для женщин в период беременности, ведь развитие коксартроза нередко диагностируется на данном жизненном этапе пациентки.
Подбирать комплекс упражнений необходимо только под контролем специалиста — ортопеда или травматолога. Занятия должны не просто принести пользу, но и не навредить, а также не усугубить патологический процесс.
Несколько упражнений, рекомендуемых для домашнего использования:
- Исходное положение лежа на твердой поверхности, ноги ровные. Поочередно необходимо сгибать ногу в колене на 90 и более градусов. Повторить 15-20 раз по несколько подходов.
- Положение тела не меняется. Лежа, сгибаем ногу и пытаемся подтянуть к солнечному сплетению, при этом не должно быть выраженной боли. Тоже самое проделываем с другой ногой. Повторить 10-15 раз.
- В положении лежа, ноги ровные. Сгибаем в коленях одновременно две ноги, ладошками упираемся в пол. На вдохе отрываем ягодицы от пола на 10-15 см, задерживаемся на несколько секунд и с выдохом опускаемся. Повторить не менее 10 раз в несколько подходов.
Обратите внимание, что любая физическая активность, в частности ЛФК, должна проводиться только при отсутствии острых приступов боли. При наличии болевого синдрома проводится симптоматическое лечение для его ликвидации, и только после разрешается использование лечебной гимнастики.
Лечение двухстороннего коксартроза
Коксартроз двухстороннего типа является распространенной патологией, чаще можно обнаружить у пациентов пожилого возраста, однако, у молодых также встречается. Заключается в поражении обоих суставов тазобедренной области, сопровождается ухудшением подвижности и болями. В реальности это выглядит таким образом: сначала идет поражение одного сустава, развивается болевой синдром, который больной пытается подавить обезболивающими, через время патологический процесс развивается уже в другом сочленении.
Причины развития весьма обширны, выделить один фактор невозможно. Современные ученые и множество лабораторных исследований пришли к выводу, что артроз ТБС не является наследственным. Во многих случаях виной была генетическая предрасположенность к метаболическому расстройству, которое приводит к возникновению указанного нарушения. Тем не менее, в группу риска входят люди с повышенной массой тела, постоянными физическими нагрузками, с нарушением обмена веществ и при наличии сахарного диабета. Начинать процесс лечения следует сразу после постановки диагноза, наиболее лучший эффект достигается при терапии на ранних сроках. По этой причине следует обращаться к специалистам при первых появлениях боли и тяжести в тазу. Когда артроз ТБС запущен, на смену препаратам и консервативному воздействию приходит оперативное вмешательство. Так, на третьей стадии развития протезирование остается единственным методом, способным полностью избавить человека от проблемы. После операции в обязательном порядке идет реабилитация, которая позволяет добиться полного восстановления.
Но, не думайте, что отсутствие чрезмерных нагрузок позволит вам защититься от этой болезни. Сидячий образ жизни, полное отсутствие физической активности также приводит к различным видам артроза. К категории риска относятся пациенты с остеопорозом, артритом, диабетом, а также слабо развитыми суставными сочленениями. Ранее считалось, что такая патология поражает исключительно людей старше 40 лет, однако, на сегодня это доказанное заблуждение, поскольку диагностируется у больных в диапазоне 20-30 лет и менее. В их случае основанием развития становятся врожденные вывихи или приобретенные травмы, например, у профессиональных спортсменов.
Коксартроз 2 степени: лечение
Часто пациенты обращаются за медицинской помощью, когда болезнь достигает 2-3 степени развития. В этом случае назначение медикаментозных средств абсолютно неизбежно. Коксартроз тазобедренного сустава второй степени лечится главным образом препаратами, которые относятся к нестероидной группе, обладают противовоспалительным эффектом, а также с помощью хондпротекторов и обезболивающих. Их взаимодействие и комплексное применение обеспечивают снижение болевого синдрома, препятствуют прогрессированию дальнейшего разрушительного процесса.
Некоторые врачи рекомендуют обратиться к народным средствам, к примеру, лечение пиявками, однако большинство специалистов к этому относятся скептически, утверждая, что пиявки никаким образом не влияют на состояние суставов.
Как уже описали ранее, основная доля припадает на прием НПВП, которые назначаются курсами в виде пероральных средств — для приема внутрь (капсулы, таблетки) и местного использования — кремы, мази, растирки.
Хондропротекторы также незаменимы в терапии двухстороннего коксратроза второй стадии, они действуют непосредственно на гиалиновый хрящ, предотвращая его разрушение.
Все это дополняется лечебным массажем, который играет роль вспомогательного компонента. Совместно с лекарством и ЛФК такая процедура нормализует кровообращение, улучшает двигательную активность суставного соединения, таким образом выступает в качестве профилактики развития хромоты и укорочения конечности.
Терапия второй стадии болезни носит постоянный характер, требует комплексного подхода и серьезности отношения со стороны больного.
Лечение коксартроза 3 степени
Коксартроз в третьей стадии развития характеризуется появлением постоянной боли, которая сопровождает как днем, так и в ночное время суток. Процесс ходьбы крайне затруднителен, это приводит к тому, что пациент начинает использовать трость для поддержки, появляется хромота и укорочение одной ноги. Такая степень болезни сопровождается серьезным ограничением свободы передвижения в суставах, атрофией мышц бедра и голени. Все это не только негативно физически влияет на больного, но и психоэмоционально, заставляя воспринимать, а также относиться к себе, как к инвалиду.
Третья степень артроза ТБС относится к запущенной форме патологии, где деформирующий процесс уже невозможно остановить. В случае, когда врач диагностирует именно такую стадию, то консервативные методы воздействия уже нет смысла применять. Здесь медикаментозное лечение будет выступать в качестве вспомогательного метода, купировать боли, и то ненадолго. Затормозить процесс разрушения сустава невозможно, а вернуть человеку возможность нормально передвигаться получится только после эндопротезирования — замены разрушенного соединения на имплантат.
Когда процесс разрушения более выраженный, применяется эндопротезирование — радикальный метод хирургии. Он позволит не только устранить заболевание, но и полностью исключает его рецидив — повторное образование.
В процессе развития коксартроза или, как часто его называют, — артроза ТБС, синовиальная жидкость приобретает более плотную консистенцию, увеличивает свою вязкость. При дальнейшем развитии заболевания происходит высыхание гиалинового хряща, он теряет свою эластичность, гладкое покрытие, на нем начинают образовываться микротрещины. В результате, при ежедневной нагрузке происходит его истончение, ухудшаются обменные процессы, далее начинается процесс деформирования, разрушения.
Коксартроз 1 степени: лечение
Первая стадия течения считается наиболее благоприятной, поскольку позволяет достичь весьма хорошего терапевтического эффекта при помощи консервативных методов. В первую очередь идет назначение медикаментозных средств, куда входят препараты нестероидного происхождения, хондропротекторы и миорелаксанты.
[ads-pc-2] [ads-mob-2]
Хондроитин, на основе которого производятся хондропротекторы, является незаменимым средством при лечении заболеваний суставов и других дегенеративных изменений. Исследования показали, что такие препараты воздействуют на внеклеточный матрикс, который составляет основу соединительной ткани и поддерживают его на клеточном уровне.
Тем не менее, в 1-2 степени не стоит полностью полагаться на лекарственные средства. Конечно, свой эффект они имеют — снимают боль, устраняют воспаление, тормозят патологический процесс. Однако, коксартроз относится к прогрессирующим заболеваниям, поэтому рано или поздно вопрос о необходимости оперативного вмешательства будет «открыт». Естественно, при диагностировании на ранних сроках болезни и комплексного воздействия, необходимость хирургии нескоро вас коснется, но надеяться, что медикаменты вас полностью излечат, также не стоит.
Физиотерапия — дополнительный вариант лечения, который направлен на укрепление местных групп мышц, стимулирует обмен веществ и уменьшает боли и воспаление, которые, как правило, связаны с артрозом ТБС. Гомеопатические лекарства, импульсная магнитополевая терапия и терапия ортокином относятся к альтернативным методам лечения. В последнем случае, например, собственные иммунные белки пациента используются для лечения деградации хряща, что является одним из последствий коксартроза.
Что происходит в суставе
Надо сказать, что дегенерация хряща происходит постепенно. Имеющиеся изменения долгое время не дают о себе знать какими-либо симптомами.
Комплекс разрушения суставных поверхностей начинается в местах микротравм или зонах ухудшения кровообращения. При излишнем давлении или нагрузках происходит уплотнение хряща и краев костей, снижается микроциркуляция. Постепенно эти нарушения прогрессируют, захватывая все большую поверхность и распространяясь вглубь.
Хрящ становится тонким, неровным, потрескавшимся. На костях уплотняется краевая субхондральная зона, появляются разрастания в виде шипов (остеофиты). Суставная полость сужается. Артроз коленных суставов может стать причиной О- или Х-образной деформации нижних конечностей. Также постепенно атрофируются соседние мышцы, меняется нагрузка на позвоночник, обнаруживаются признаки дегенерации межпозвоночных дисков.
Комплекс патологических процессов приводит к появлению боли. Боль, изменение суставных поверхностей и укорочение связок влекут за собой ограничение подвижности сустава. Это еще больше ухудшает состояние хряща. Причина этого кроется в особенностях питания суставных поверхностей. Необходимые вещества поступают к ним не из кровеносных сосудов, а из синовиальной жидкости при активных движениях. Поэтому ЛФК при артрозе коленного сустава является лечением и профилактикой, регулярные упражнения необходимы для питания хряща.
Проявления гонартроза
Выделяют 3 клинические стадии болезни. При их определении учитывают характер боли, наличие других симптомов, признаков контрактуры и костных деформаций.
Артроз коленного сустава 1 степени не заметен внешне, общий осмотр не выявляет характерных симптомов заболевания. Боли возникают периодически при начале движения, после сна или продолжительного сидения. Они называются стартовыми и имеют небольшую интенсивность.
Артроз коленного сустава 2 степени характеризуется усилением болевого синдрома, признаками ограничения подвижности. Боль возникает при подъеме по ступенькам, ходьбе, вставании из положения сидя, длительном стоянии. Она достаточно сильная и продолжительная, но проходит после отдыха и ночного сна. Появляются хруст в суставе, утренняя скованность, метеочувствительность, умеренная деформация колена. Начинается атрофия мышц. При осмотре врач выявляет увеличение сустава, его болезненность при ощупывании и смещении надколенника.
3 степень гонартроза – это полный комплекс выраженных изменений. Беспокоят почти постоянные боли, значительное снижение объема движений и сильная деформация колена и всей ноги. Сгибание и разгибание в коленном суставе осуществляются не полностью, из-за чего меняется походка и положение тела. Возможно возникновение внезапного заклинивания ноги в одном положении (блокада колена), когда из-за острой выраженной боли временно невозможны все движения.
На любом этапе болезни дополнительно может развиться воспаление (артрит), сопровождающийся характерными симптомами на фоне уже имеющихся признаков артроза. Причиной этого является синовит – воспаление внутренней оболочки сустава.
Сбор анамнеза, выявление жалоб и внешних симптомов дополняются инструментальным обследованием. Это позволяет уточнить характер и степень изменений, оценить прогноз, подобрать препараты и другие методы лечения, принять решение об операции.
Необходимые исследования
При гонартрозе проводят рентгенографию, УЗИ, артроскопию, МРТ.
Артроз коленного сустава имеет 3 рентгенографические степени:
- I степень – есть негрубое сужение суставной щели и расстояния между бедренной костью и надколенником, заостренность межмыщелковых бугорков;
- II степень – видны явное сужение суставной щели, мелкие остеофиты, остеосклероз и небольшие кисты по краям костей;
- III степень – определяются признаки выраженного остеосклероза и кистовидной перестройки костей, деформация эпифизов костей, грубые шиповидные разрастания и узкая неравномерная суставная щель.
При артроскопии выделяют 4 стадии заболевания. Поначалу определяется неравномерное размягчение хряща. Затем появляются трещинки и разрывы, на 3 стадии они выражены и захватывают все суставные поверхности. 4 стадия характеризуется оголением костей.
Установленный диагноз учитывает весь комплекс данных, полученных при осмотре и обследовании пациента.
Как лечить
Когда подтвержден артроз коленного сустава, лечение должно быть направлено не только на уменьшение выраженности основных симптомов. Важна профилактика прогрессирования болезни, предотвращение осевых деформаций ног. Комплекс мероприятий позволит защитить другие суставы и позвоночник от неправильной нагрузки.
В лечение артроза коленного сустава включаются:
- сбалансированная диета, особенно для коррекции избыточного веса;
- использование медикаментозных препаратов, в том числе в виде уколов и блокад;
- физиотерапия;
- мануальная терапия, массаж;
- гимнастика при артрозе коленного сустава;
- местное лечение в виде мазей, растираний, компрессов;
- снижение нагрузки на больной сустав при помощи ортопедических приспособлений;
- эндопротезирование при выраженном гонартрозе и развитии осложнений со стороны других суставов и позвоночника;
- бальнеологическое (санаторно-курортное) лечение.
Дополнительно применяются народные средства. Следует помнить, что они не заменяют рекомендованное врачом лечение, а лишь дополняют его.
Медикаментозное лечение артроза коленного сустава включает прием НПВС и хондропротекторов. Они применяются в виде таблеток и уколов. Для обезболивания лучше использовать селективные НПВС с низким риском побочных эффектов. При сильной боли начинают с уколов, затем переходят на пероральный прием лекарств.
Необходимые лекарства от артроза коленного сустава – это хондропротекторы. На 1 и 2 стадиях болезни эти препараты улучшают секрецию синовиальной жидкости, способствуют восстановлению хряща. Хондропротекторы принимаются повторяющимися длительными курсами с достаточно высокой суточной дозировкой лекарств.
Широко применяют лечебные блокады. Это уколы для введения внутрь сустава препаратов для обезболивания и местного воздействия. Применяют новокаин, хондропротекторы, витамины, реже глюкокортикостероиды.
Местно (накожно) наносят мази с нестероидными препаратами или с согревающим эффектом. Это позволяет уменьшить боль в суставе и улучшить кровообращение. Но биодоступность препаратов в виде мази всего около 5%. А вот компрессы обладают более мощным действием. Для них рекомендуют брать препарат Димексид, медицинскую желчь, Бишофит (продукт переработки нефти). Можно пользоваться народными средствами для компрессов – это тертый хрен, овсяные хлопья, смесь соли и меда, свежие листья борщевика.
Достаточно эффективными народными способами лечения являются растирания. Применяют настойки из корня девясила, сухих пчел, смеси полыни, сирени и чистотела. Растирания проводят на ночь, после этого больное место укутывается.
Применение мазей и других местных средств не является основным методом терапии. В схему лечения обязательно входят физиотерапия и лечебная физкультура.
Физиотерапия и ЛФК
Физиолечение позволяет улучшить питание тканей, активировать кровообращение, снизить дозировку применяемых препаратов, уменьшить боль. Комплекс рекомендованных воздействий подбирается врачом и проводится курсами.
Используемые виды физиотерапии:
- электрофорез, позволяющий вводить препараты через кожу;
- ультразвук и фонофорез;
- магнитотерапия;
- лазеротерапия;
- импульсная и микротоковая терапия;
- ударно-волновая терапия;
- баротерапия;
- ванны (радоновые, сероводородные);
- грязелечение.
Магнитотерапия может быть местной и общей. Она имеет болеутоляющее, противоотечное, противовоспалительное и миостимулирующее действие. Кроме того, лечение магнитом улучшает ток крови и лимфы, ускоряет регенерацию тканей. Магнитотерапия безопасна и эффективна, ее можно применять у пожилых ослабленных людей.
Лазеротерапия ускоряет обменные процессы в месте воздействия, расширяет сосуды, улучшает питание тканей. Лазеротерапия дает хороший обезболивающий эффект при 1¬–2 степени артроза.
При выборе вида физиопроцедур врач учитывает симптомы болезни и наличие противопоказаний.
ЛФК рекомендуют на всех стадиях болезни, даже после операции. Регулярная дозированная нагрузка существенно улучшает питание хряща, тренирует мышцы и стимулирует кровообращение. Обязательно тренируются оба сустава даже при их асимметричном поражении. Ранее начало ЛФК является профилактикой прогрессирования болезни. Обучение проводит врач или инструктор.
Специальные лечебные упражнения при артрозе коленного сустава должны проводиться ежедневно, в том числе еще до вставания с постели. Зарядка делается через боль, с постепенным наращиванием объема движений. Комплекс упражнений не сложный, не требует гимнастических снарядов и не занимает много времени.
Массаж и некоторые приемы мануальной терапии проводятся курсами после стихания обострения. Они позволяют нормализовать мышечный тонус, улучшить трофику тканей и кровоснабжение, частично скорректировать положение костей, увеличить объем движений.
Как вылечить артроз коленного сустава? Этот вопрос возникает на всех этапах болезни. Чем раньше установлен верный диагноз, тем быстрее назначается необходимый комплекс лечебных мероприятий. Используемые уколы, таблетки, компрессы и мази обязательно сочетаются с ЛФК, массажем и физиотерапией. Например, часто применяют лечением магнитом, лазеротерапию и электрофорез. Улучшить состояние можно и народными средствами.
Для профилактики развития и прогрессирования гонартроза необходимо корректировать сопутствующие заболевания, проходить полноценное лечение при травмах коленного сустава, следить за своим весом и обеспечивать рациональную нагрузку на свою опорно-двигательную систему.
Остеоартроз (ОА) – хроническое прогрессирующее заболевание суставов, характеризующееся дегенерацией суставного хряща, изменениями в субхондральном отделе эпифизов костей и в околосуставных мягких тканях.
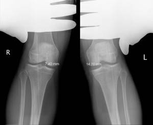
Состояние суставного хряща является важным не только для диагностики ОА, но и для оценки прогрессирования заболевания и проводимого лечения. Суммарная толщина суставного хряща на рентгенограммах определяется измерением ширины рентгеновской суставной щели между суставными поверхностями эпифизов костей. Ширина суставной щели до настоящего времени используется, как основной показатель в рентгенологической диагностике ОА, и стандартная рентгенография коленных суставов в прямой и боковой проекциях рекомендуется WHO и ILAR, как метод выбора для оценки динамики изменений в суставном хряще при проведении клинических испытаний лекарственных препаратов.
Рентгенография остается наиболее простым и общедоступным методом исследования суставов для оценки анатомических изменений структуры костей при ОА. С точки зрения оперативности диагностики, простоты и удобства использования, особенно интересны передвижные рентгенодиагностические аппараты с полипозиционным штативом типа С-дуга, широко применяемые в мировой практике. Аппараты данного класса позволяют проводить исследования пациента в любых проекциях без изменения положения последнего. В России единственным производителем подобного оборудования является Санкт-Петербургская научно-исследовательская производственная компания “Электрон”. Характерные рентгенологические проявления ОА обычно легко определяются на стандартных рентгенограммах суставов, при этом сужение рентгеновской суставной щели соответствует объемному уменьшению суставного хряща, а субхондральный остеосклероз и остеофиты на краях суставных поверхностей есть ответная реакция костной ткани на увеличение механической нагрузки в суставе, что, в свою очередь, является результатом дегенеративных изменений и уменьшения в объеме суставного хряща. Данные рентгенологические симптомы рассматриваются, как специфические для ОА, используются для постановки диагноза ОА и входят в рентгенологические критерии (в сочетании с клиническими) диагностики ОА.
Рентгенологические симптомы, обязательные для постановки диагноза остеоартроза
Сужение рентгеновской суставной щели – один из самых важных рентгенологических симптомов, имеющий прямую коррелятивную связь с патологическими изменениями, происходящими в суставном хряще. Известно, что уменьшение в объеме суставного хряща распределяется неравномерно на разных участках суставной поверхности, в связи с чем рентгеновская суставная щель в разных отделах сустава имеет различную ширину. Согласно рекомендациям WHO/ILAR ширину рентгеновской суставной щели необходимо измерять в наиболее суженном участке. Считается, что в патологически измененном суставе именно этот участок испытывает наибольшие механические нагрузки (для коленного сустава – это медиальные отделы, для тазобедренного сустава – верхнемедиальные, реже – верхнелатеральные отделы). Анатомическими ориентирами, используемыми для измерения суставной щели на рентгенограммах крупных суставов являются:
а) для выпуклых поверхностей (головка и мыщелки бедренной кости) – кортикальный слой замыкательной пластины суставной поверхности кости;
б) для вогнутых поверхностей (край вертлужной впадины, проксимальные мыщелки большеберцовых костей) – край суставной поверхности в основании суставной впадины.
Остеофиты – костные разрастания на краях суставных поверхностей костей различной формы и размеров являются чрезвычайно характерным для ОА рентгенологическим симптомом. Остеофиты в начальных стадиях развития ОА суставов проявляются в виде заострений или небольших размеров (1–2 мм) костных образований на краях суставных поверхностей и в местах прикрепления собственных связок суставов (в коленных суставах это края межмыщелковых возвышений большеберцовых костей, в месте прикрепления крестообразных связок; в тазобедренных суставах – края ямки бедренной головки, на медиальной ее поверхности, в месте прикрепления собственной связки бедренной головки). По мере нарастания тяжести ОА в суставах и прогрессирующего сужения суставной щели остеофиты увеличиваются в размерах, приобретают различные формы в виде “губ” или “гребней”, прямолинейных или “пышных” костных разрастаний на широком или узком основании. При этом суставная головка и впадина могут значительно увеличиваться в поперечнике, становиться более массивными и расплющенными. Количество остеофитов может быть подсчитано отдельно или суммарно в обоих суставах, а их размеры измерены по ширине в основании и по длине. Изменение количества остеофитов и их размеров является чувствительным индикатором прогрессирования заболевания, а отсутствие этих изменений может указывать на успешность в лечении ОА.
Субхондральный остеосклероз – уплотнение костной ткани, непосредственно расположенной под суставным хрящом. Обычно этот рентгенологический симптом выявляется на поздних стадиях ОА, когда суставная щель уже резко сужена и является следствием трения обнаженных сочленяющихся костных поверхностей друг о друга. Суставные костные поверхности при этом становятся неровными. Это свидетельствует о глубоком дегенеративном процессе в покровном хряще или о его исчезновении. Изменения целостности суставного хряща, что предшествует его количественному уменьшению, может быть результатом уплотнения кортикальной и трабекулярной костной ткани, непосредственно расположенных под хрящом. Уплотнение субхондральной костной ткани в области суставных поверхностей костей измеряется в 3–х равноотстоящих точках вдоль суставного края; результаты измерения при этом могут быть усреднены.
Рентгенологические симптомы, необязательные для постановки диагноза первичного остеоартроза
Околосуставной краевой дефект костной ткани. Хотя этот рентгенологический симптом, который может наблюдаться при ОА, определен Altman с коллегами, как “эрозия суставной поверхности”, термин “околосуставной краевой дефект костной ткани” более предпочтителен, так как точной гистологической характеристики этих рентгенологически выявляемых изменений пока не дано. У больных с ОА они небольшие с участком остеосклероза в основании, при этом окружающая их костная ткань не имеет разрежения костной структуры, что характерно для истинных эрозий, выявляемых при ревматоидном артрите, которые не имеют склеротических изменений в основании и часто определяются на фоне околосуставного остеопороза. Краевые дефекты костной ткани могут быть обнаружены на ранних стадиях ОА, появление их может быть связано с воспалительными изменениями в синовиальной оболочке. Эти изменения описаны в крупных суставах и в суставах кистей.
Субхондральные кисты – рентгенологически проявляются, как кольцевидные дефекты трабекулярной костной ткани в субхондральном отделе кости с четко определяемым склеротическим ободком. Субхондральные кисты формируются в результате резорбции костной ткани в области высокого внутрисуставного давления, в месте наибольшей нагрузки на суставную поверхность. Чаще всего эти кисты появляются при обострении заболевания и находятся в зоне наиболее узкой части суставной щели. Они характерны для ОА тазобедренных суставов и могут обнаруживаться как в головке бедренной кости, так и в крыше вертлужной впадины. О динамике изменений субхондральных кист судят по их количеству и размерам.
Внутрисуставные обызвествленные хондромы – образуются из участков некротизированного суставного хряща, а также могут являться фрагментом костной ткани – остеофита или продуцироваться синовиальной оболочкой. Хондромы обычно имеют небольшие размеры, находятся между суставными поверхностями костей или лежат сбоку от эпифизов костей, имеют различную форму (округлую, овальную, удлиненную) и неравномерную крапчатую структуру, связанную с отложением кальцийсодержащих веществ в хрящевую ткань. Количество их в суставе минимальное (1–2 хондромы).
В коленном суставе за обызвествленную хондрому можно принять сесамовидную кость (fabella) в подколенной ямке, которая при ОА коленного сустава также меняет свою форму, положение и размеры. Деформация fabella является одним из симптомов ОА коленного сустава.
Рентгенологическая диагностика остеоартроза тазобедренных суставов
На точность оценки ширины суставной щели в тазобедренных суставах влияют 3 фактора: позиция больного, поворот конечности и правильная центрация рентгеновского луча при рентгенографии сустава. Сравнение ОА изменений в тазобедренных суставах у одних и тех же больных в 2–х положениях (стоя и лежа) показало, что в положении больного стоя ширина суставной щели была достоверно меньше, чем когда больной лежал на столе. Cуставная щель сужена в большей степени тогда, когда стопа направлена кнутри. Смещение рентгеновской трубки в сторону от центра сустава может достоверно изменить ширину суставной щели. При этом рекомендуется, чтобы центральный рентгеновский луч проходил через центр бедренной головки. Правда, необходимо отметить тот факт, что раздельная рентгенография тазобедренных суставов приводит к увеличению лучевой нагрузки на пациентов.
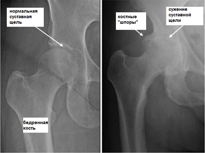
В начальных стадиях (1–2 стадии по Kellgren) ОА тазобедренных суставов при рентгенологическом исследовании определяются: незначительное сужение суставной щели, слабовыраженный субхондральный остеосклероз, точечные кальцификаты в области наружного края крыши вертлужной впадины (зачаток остеофитов), заострение краев ямки бедренной головки в области прикрепления круглой связки бедренной головки (рис. 1).
Рис. 1. Обзорная Rо-графия тазобедренного сустава в прямой проекции.
Деформирующий остеоартроз II ст. по Kollgren. Крупные остеофиты на краях суставных поверхностей. Грибовидная деформация бедренной головки
В поздних стадиях заболевания (соответствует 3–4 стадии ОА по Kellgren) отмечаются:
• прогрессирующее сужение суставной щели
• формирование различной формы и размеров остеофитов на краях суставных поверхностей вертлужной впадины, бедренной головки, отчего она со временем приобретает грибовидную форму. В средней части вертлужной впадины возможно формирование клиновидного остеофита, который может обусловить латеральное смещение бедренной головки
• углубление вертлужной впадины может быть связано с развитием остеофитов; протрузия ее возможна на фоне остеопороза или истончения костей, составляющих дно вертлужной впадины
• выраженный субхондральный остеосклероз. Проявляется в первую очередь в области крыши вертлужной впадины, затем в верхнем отделе бедренной головки
• в далеко зашедших случаях – уменьшение в объеме и уплощение суставной поверхности бедренной головки на фоне выраженной кистовидной перестройки костной ткани, чередующейся с участками субхондрального остеосклероза. Костные кисты могут быть единичными или множественными. Возникают они в верхней части вертлужной впадины или в зоне наибольшей нагрузки на суставную поверхность бедренной головки
• асептический некроз бедренной головки
• подвывихи бедренной кости чаще вверх и латерально, реже вверх и медиально
• уплотнение костной ткани и укорочение шейки бедренной кости.
Свободные внутрисуставные тельца при коксартрозе выявляются редко.
При вторичном диспластичном коксартрозе все рентгенологические симптомы развиваются рано (в молодом или среднем возрасте) и могут закончиться асептическим некрозом бедренной головки и подвывихом или полным вывихом бедра.
Описан ишемический коксартроз с быстрым сужением суставной щели, перестройкой костной структуры в головке и шейке бедренной кости, ранними остеосклеротическими изменениями, но без значительного остеофитоза, с достаточно быстрым развитием деструкции бедренной головки.
Рентгенологическая диагностика остеоартроза коленных суставов
Коленные суставы – одни из самых трудных для правильного рентгенологического исследования из–за их структурной сложности и широкого диапазона движений. ОА в коленных суставах может быть ограниченно распространенным даже в определенном отделе сустава, что также затрудняет диагностику изменений в суставе. Последние клинические и эпидемиологические работы подтвердили важность исследования пателлофеморального сустава в оценке ОА коленного сустава, так как совместное исследование этих суставов обнаруживает заболевание приблизительно в 50% от всех обследованных больных и доказывает, что к прямой рентгенографии коленных суставов необходимо в обязательном порядке добавлять прицельный снимок надколенника в боковой или аксиальной проекции. Незначительно согнутый в положении стоя и в прямой проекции коленный сустав является наиболее приемлемым положением для объективной оценки ширины суставной щели. Каждый коленный сустав сгибается так, чтобы опорные площадки суставной поверхности большеберцовой кости стали горизонтальными, шли параллельно с центральным рентгеновским пучком и были перпендикулярны кассете. Центр сустава (суставной щели) должен совпадать с центром рентгеновского луча. Рентгенологическое исследование феморопателлярного сустава может быть проведено в положении больного лежа на животе с максимально согнутой в коленном суставе ногой или с использованием метода Ahlback, когда больной стоит и коленный сустав согнут под углом 30° от вертикального положения. В этом положении сустав находится под функциональной нагрузкой, гарантируется, что поверхности сустава хорошо видны, обеспечивается более точная оценка хрящевой ткани, чем в том случае, когда больному проводится исследование в положении лежа.
Рентгенологическая диагностика артроза феморопателлярного сустава в боковой и аксиальной проекциях характеризуется: сужением суставной щели между надколенником и бедром; остеофитами на задних углах надколенника и мыщелков бедренной кости; субхондральным остеосклерозом надколенника; единичными субхондральными кистами со склеротическим ободком.
Данный артроз почти всегда наружный, иногда наружный и внутренний, редко – только внутренний (диагностируется только по аксиальному снимку).
Ранние рентгенологические признаки (соответствуют 1–2 стадиям артроза по Kellgren):
1. Вытягивание и заострение краев межмыщелкового возвышения большеберцовой кости (в месте прикрепления крестообразной связки).
2. Небольшое сужение суставной щели (чаще в медиальном отделе сустава).
3. Заострение краев суставных поверхностей мыщелков бедренной и большеберцовой кости, чаще в медиальном отделе сустава (связано с большей нагрузкой на этот отдел сустава), особенно при наличии варусной деформации сустава; реже – в латеральной части или одновременно в обеих половинах суставной поверхности (рис. 2).
Рис. 2. Rо-графия коленных суставов в боковой проекции.
Артроз феморопателлярных суставов (больше слева). Артроз коленных суставов (I ст по Kollgren справа, IV ст. по Kollgren слева)
При прогрессировании артроза коленных суставов (соответствует 3–4 стадиям артроза по Kellgren):
• нарастает сужение суставной щели
• развивается субхондральный остеосклероз в наиболее нагруженной части сустава
• появляются множественные крупные остеофиты на боковых, передних и задних краях суставных поверхностей
• редко обнаруживаются субхондральные кисты
Вторичный синовит с развитием субпателлярной или подколенной кисты Бейкера:
• суставные поверхности бедренной и большеберцовой кости уплощаются, становятся неровными и теряют свою анатомо–функциональную дифференциацию
• многогранную неправильную форму преобретает сесамовидная кость (fabella)
• могут обнаруживаться обызвествленные хондромы
• редко возможно развитие асептических некрозов мыщелков костей.
Остеартроз проксимальных и дистальных межфаланговых суставов
Стандартная рентгенография кистей проводится в прямой проекции. Пальцы расположены вместе, кисти лежат ровно на кассете на одной линии с осью, проходящей через предплечья и запястья.
Начальные проявления (соответствуют 1–2 стадиям артроза по Kellgren):
Небольшие заострения краев или остеофиты с нерезким субхондральным остеосклерозом; мелкие, субхондрально расположенные кисты при нормальной или слегка суженной суставной щели, мелкие кальцификаты в мягких тканях в области боковых краев суставных поверхностей костей.
Выраженные изменения (соответствуют 3–4 стадиям артроза по Kellgren):
Умеренно выраженные или крупные остеофиты, деформация краев суставных поверхностей, значительное сужение суставных щелей, остеосклероз (узелки Гебердена в дистальных межфаланговых суставах и узелки Бушара в проксимальных), кисты со склеротическим ободком, краевые дефекты суставных поверхностей, при этом костные выступы с одной стороны могут вклиниваться в другую. Обычно краевые дефекты окружены зоной остеосклероза (рис. 3).
Рис. 3. Обзорная Rо-графия кистей.
Множественные артрозы дистальных и проксимальных межфаланговых суставов. Множественные узелки Гебердена и Бушара. Выраженный артроз 1-го левого запястнопястного сустава
Стандартная и микрофокусная рентгенография суставов
Методы для оценки прогрессирования ОА основываются на выявлении изменений рентгенологических симптомов в суставах. Длительные исследования рентгенологических изменений у больных с ОА в коленных суставах, получавших негормональное противовоспалительное лечение, показало отсутствие рентгенологического прогрессирования заболевания после 2–х лет наблюдений и минимальные различия между группами, получавшими лечение, и в контроле. Отсутствие достоверных изменений в этих и других, длительных исследованиях дают основание предполагать, что рентгенологические симптомы при стандартной рентгенографии суставов остаются относительно стабильными в течение длительного периода времени при ОА и предложению, что более чувствительная технология, такая как микрофокусная рентгенография суставов, должна более широко использоваться при оценке динамики изменений.
. Длительные исследования рентгенологических изменений у больных с ОА в коленных суставах, получавших негормональное противовоспалительное лечение, показало отсутствие рентгенологического прогрессирования заболевания после 2–х лет наблюдений и минимальные различия между группами, получавшими лечение, и в контроле. Отсутствие достоверных изменений в этих и других, длительных исследованиях дают основание предполагать, что рентгенологические симптомы при стандартной рентгенографии суставов остаются относительно стабильными в течение длительного периода времени при ОА и предложению, что более чувствительная технология, такая как , должна более широко использоваться при оценке динамики изменений.
В микрофокусных рентгеновских аппаратах применяются специальные рентгеновские трубки с точечным источником излучения. Количественная микрофокусная рентгенография с прямым увеличением изображения показывает достаточную чувствительность по выявлению мелких изменений в структуре костей. С помощью этого метода прогрессирование ОА и эффект от проводимого лечения может быть зарегистрирован и точно измерен за достаточно короткое время между исследованиями. Это достигается благодаря стандартизации исследования и использованию рентгенографической измерительной процедуры, улучшению качества получаемых рентгенограмм суставов с прямым увеличением изображения, что позволяет регистрировать невидимые на стандартных рентгенограммах структурные детали кости. WHO/ILAR рекомендуют измерять ширину суставной щели вручную методом Lequesne с использованием увеличительной линзы и расчетом ширины сустава в различных точках. Такие измерения показывают, что при повторных измерениях коэффициент вариации составляет 3,8% . Развитие микрокомпьютерной и анализирующей изображения техники обеспечивает более точный метод измерения изменений в анатомии суставов, чем ручные методы. Цифровая обработка рентгеновского изображения сустава позволяет автоматически измерить ширину суставной щели компьютером. Ошибка исследователя практически исключается, потому что точность при повторных измерениях устанавливается самой системой.

