Медицинская статистика говорит о том, что примерно 110 человек из 200 тысяч проходят лечение после перелома голеностопного сустава. Около 80% случаев – переломы наружной кости, 20% случаев приходится на сложные переломы с подвывихом или вывихом. Это достаточно болезненная травма, которая отличается длительным восстановительным периодом.
Голеностопный сустав представляет собой подвижную часть, связывающую голень и ступню. Данный сустав подвергается намного большей нагрузке, чем другие.

У голеностопного сустава блоковидная форма, он сгибается и разгибается в плоскости вокруг оси. Сустав состоит из сухожилий, связок, мышц, которые создают подвижность.
В частности, сустав создан из следующих анатомических элементов:
- пяточная таранно-малоберцовая связка,
- передняя таранно-малоберцовая связка,
- задняя таранно-малоберцовая связка.
У голеностопа множество функций:
- он выполняет движение стопы во всех направлениях,
- у него есть амортизационная функция, сустав смягчает удар во время столкновения стопы с предметами и поверхностью,
- балансировочная функция состоит в том, что сустав сохраняет баланс тела при наклонных поверхностях.
Сустав деформируется и ломается вследствие механических повреждений и физических ударов. В большинстве случаев речь идет об ударе в область коленного или голеностопного сустава, когда человек падает.
Кроме этого, причинами травмы сустава могут быть:
- вывих голеностопа,
- приземление на пятки с высоты,
- удар предметом в область голеностопа и многое другое.
Чаще всего, подобные травмы возникают у людей в пожилом и зрелом возрасте. Также это бывает у лиц, которые страдают расстройствами коленного и голеностопного сустава с нарушениями костной и суставной тканей.
Переломы сустава бывают:
- закрытый и открытый перелом,
- без смещения ступни,
- вывих стопы наружу или внутрь,
- перелом стопы и голени со смещением.
Открытый перелом голеностопа, фото которого представлено ниже, встречается только в 20% случаев.
Как правило, пациенты лечат закрытые переломы без смещения стопы. Таких случаев регистрируется около 80%.
Открытый перелом часто сопровождается сильной внутрисуставной болью и шоковым состоянием. В этих случаях необходимо быстро остановить кровь и обезболить травмированную область.
При закрытых переломах без смещения стопы и деформации мыщелка, больные принимают свое состояние за легкий ушиб и не спешат идти к врачу.
Симптомы перелома голеностопного сустава
Как правило, при переломе голеностопного сустава появляются такие симптомы:
- деформация,
- кровоподтеки,
- сильные отеки в районе коленного и голеностопного сустава,
- часто нет возможности наступать на больную конечность,
- трудно осуществлять любые движения ступней,
- постоянные внутрисуставные боли.
Диагностические мероприятия

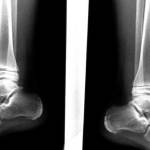
Начать лечение нельзя без проведения рентгенографического исследования, для этого назначается рентген голеностопного сустава.
После получения рентгеновского снимка, врач хорошо видит контуры связок и состояние голеностопного сустава. Таким образом, врач ставит диагноз и сразу назначает лечебный комплекс.
Основные моменты клинического лечения
Лечение должно начинаться с грамотной первой помощи пострадавшему. Нельзя пробовать становиться на ногу, если есть жгучая резкая боль в районе травмы. Необходимо всячески избегать лишних движений коленного сустава и стопы.
При переломе голеностопного сустава первая помощь оказывается путем наложения шины на область поражения. Шина состоит из обычных досок, которые фиксируют сустав и голень. После наложения шины, пострадавшего в обязательном порядке необходимо доставить в медицинское учреждение.
Если есть очень сильная мучительная боль и человек пребывает в шоковом состоянии, следует вызвать бригаду скорой помощи.
Если у человека открытый перелом голеностопного сустава, то важно в первую очередь, остановить кровотечение. Если кровь идет не очень обильно, то достаточно на место поражения наложить повязку. При большом кровотечении нужно наложить жгут выше области повреждения.
При переломе голеностопа, лечение назначается, учитывая наблюдаемую клиническую картину. Например, при открытых переломах сустава, требуется остановить кровотечение и выполнить дезинфекцию области перелома.
Если выяснилось, что перелом не простой, а со смещением голеностопа, то необходимо сделать репозицию костей. Как правило, в этом случае речь идет о выходе кисти из своего места. После выполнения репозиции костей, врач зашивает пациенту область раны и обезболивает нижнюю часть. Заключительным этапом процедуры является наложение гипса на срок, который определяет лечащий врач.
Если поставлен диагноз «закрытый перелом», то лечение проходит в более короткий срок. При несложном переломе, сопровождающемся смещением стопы, лечащий врач убирает гипсовую повязку через 2, или менее, месяца. После этого назначается лечебный курс по восстановлению тканей поврежденной области.
Если травма осложнена смещением, то пациент находится в гипсе около 5 месяцев. Такие случаи отличаются от других более продолжительным временем реабилитации.
Оперативное лечение
Когда невозможно составить костные ткани, потребуется хирургическое вмешательство. В этом случае хирург применяет металлические винты и пластины.
Костные ткани, которые остались, привинчивают к пластинке, и к ноге. Фиксация должна быть около года. Естественно, пациент должен неукоснительно следить за тем, чтобы на больную конечность не приходилось никакой нагрузки. После окончания установленного срока, пластинку нужно выкрутить, наложить повязку. Врач с этого времени разрешает легкие нагрузки.
Перед операцией врачом и ассистентом планируются все нюансы с учетом индивидуальных особенностей мыщелка и сустава. Необходимо правильно позиционировать больного на операционном столе, чтобы нога была свободно фиксирована. Таким методом пользуются при свежих переломах.
Самая сложная часть операции – ввести винт в правильное место костного мозга. Место определяется сложность костной структуры. Во время операции осуществляется контроль рентгеном.
Операцию можно проводить с рассверливанием канала и без него. В последнем случае снижается фактор травматизма коленного, голеностопного сустава и мыщелка.
Этапы введения винта без рассверливания:
- имплантируют фиксатор,
- производят заднее блокирование, то есть направление винта от корпуса тела,
- сжимают отломки кости,
- выполняют проксимальное блокирование (направляют к корпусу тела).
Если нужна дополнительная репозиция, то винт корректируют после введения. Кость при этом выравнивается, исключается дефицит ее длины.
Чаще всего применяют вариант с рассверливанием. В процессе операции ликвидируют отмершие ткани. В остальных вариантах, винт может выступать имплантатом, а также играть роль разрушенного сектора кости.
Реабилитация
Поскольку восстановительный период имеет такую же важность, как и сам лечебный комплекс, то к реабилитации после перелома голеностопного сустава без смещения или с таковым, нужно отнестись крайне серьезно.
Чаще всего в восстановительных целях врачи назначают лечебную физкультуру, где тренируется не только голеностопный, но и коленный сустав. На начальном этапе лучше всего заниматься под контролем инструктора, это поможет не допустить сильных нагрузок на травмированную конечность.
Восстановление после перелома голеностопного сустава происходит с помощью постепенного увеличения нагрузок. Часто врачи рекомендуют реабилитационный массаж ступни.
Чтобы быстрее восстановить функции голеностопного сустава, больным рекомендуют следующие упражнения:
- С тренажером баланса. Здоровую ногу сгибают в коленном суставе, а больная нога находится на качающейся плоскости. В этой позиции нужно бросать мяч и ловить его. Так тренируются мышцы балансировки.
- Прыжки на поврежденной ноге. На поверхности чертится белая линия. Человек прыгает на одной ноге по разным сторонам линии. Так отрабатывается координация движений.
- Приседания с мячом. Человек прижимает к стене большой мяч, его стопы должны плотно прилегать к полу. Приседая, нужно, чтобы угол коленного сустава достиг 90 градусов.
Существует множество разновидностей таких упражнений, но все они направлены на разную степень тяжести травмы, зависят от возраста пациента и некоторых других факторов.
Виды перелома голеностопа
Голеностопный состав имеет вид образованной двумя лодыжками суставных костей голени рогатины, охватывающей с двух сторон таранную кость ноги. Такая конструкция делает его достаточно уязвимым, ведь опасности перелома подвергаются не одна, а сразу три кости, две из которых – лодыжки – сравнительно тонкие.
Ходить без травм мы можем исключительно благодаря мощному скелету из мышц и связок, надежно защищающему голеностоп. Чтобы случился перелом голеностопа, обязательно должна быть внешняя или внутренняя травматическая сила: или сильный удар в область голеностопа, резкий поворот или наклон жестко зафиксированной стопы.
Переломы голеностопа делятся на две большие группы: закрытые и открытые.
Закрытые бывают: со смещением или без него. Открытые – это исключительно переломы со смещением. Переломы без смещения кости, если правильно поставлен диагноз и своевременно начато лечение, проходят сравнительно быстро и безболезненно.
Лечение переломов со смещением намного сложнее, а предсказать заранее, сколько времени и сил потребуется на полное восстановление, невозможно. В зависимости от сдвига кости, переломы со смещением делятся на:
- наружно-ротационные;
- абдукционные;
- аддукционные.
Для наружно-ротационных характерен спиралеподобный перелом кости, а также отрыв внутренней лодыжки. При этом сустав может сместиться наружу или назад. При абдукционных переломах со смещением происходит поперечный перелом малоберцовой кости. Травма, случившаяся в результате резкого подворачивания стопы внутрь с одновременным подгибанием пяточной кости, в результате чего отрывается внутренняя лодыжка, называется аддукционной.
Вернуться к оглавлению
Симптомы перелома голеностопа
Симптомы перелома голеностопного сустава, особенно закрытого, очень похожи на симптомы вывиха. Первой проявляется сильная боль в районе голеностопа. Если травма закрытая и без смещения, боль будет тупой, ноющей, резко усиливающейся при попытках двигать суставом. Если же травма со смещением, то характер боли будет другим – острым, жгучим.
Почти одновременно с болью в месте перелома формируется отек, причем в большинстве случаев он увеличивается буквально на глазах. Самый сильный отек — в районе щиколотки. Его интенсивность уменьшается по мере того, как он поднимается по ноге и, соответственно, удаляется от места перелома.
Поврежденные в месте травмы мягкие ткани воспаляются, и, если положить на них руку, то можно ощутить, что они значительно теплее, чем остальные участки тела. Зачастую при переломах со смещением кости можно заметить явную деформацию голеностопного сустава, а из-за повреждения кровеносных сосудов не исключено появление кровоподтека в месте травмы.
Бывают случаи, когда при переломе со смещением повреждается находящаяся между лодыжками таранная кость. Это самый сложный вид перелома, поскольку фиксирующих эту кость мышц природой не предусмотрено, а восстановление поврежденного такой травмой кровообращения сталкивается с серьезными трудностями.
Если перелом открытый, то неизбежно повреждение целостности кожи в месте травмы и появление кровотечения. Помимо этого признака, обычно в месте повреждения виднеются обломки сломанной кости.
Отличительные признаки, присущие только перелому голеностопа и отсутствующие при его вывихе – невозможность двигать сломанной ногой, а тем более — опираться на нее. Хотя, если перелом без смещения, то эти симптомы могут и не проявиться в полной мере. Именно поэтому нельзя диагностировать этот вид перелома только по проявившимся симптомам и внешнему осмотру.
Вернуться к оглавлению
Первая помощь при повреждении голеностопа
При закрытом характере повреждения на место перелома сразу после травмы обязательно нужно наложить шину. Перед ее наложением не забудьте снять со сломанной ноги обувь, иначе начавшийся отек может увеличить ногу настолько, что снять обувку целой будет уже невозможно.
В качестве шины подойдет любой подручный материал – доска, толстая ровная палка и т. п. Если ничего подходящего поблизости не окажется, то можно вместо шины использовать здоровую ногу, прибинтовав к ней сломанную.
При открытом характере травмы, прежде чем накладывать шину, нужно перетянуть ногу выше места перелома жгутом, чтобы остановить кровотечение. Фиксировать шину нужно в двух местах – выше и ниже перелома, и делать это очень осторожно, чтобы не задеть обломки кости.
В медицинской практике известны случаи, когда, сломав ногу, люди умирали от болевого шока, поэтому, если есть возможность, то пострадавшему нужно дать обезболивающее средство, особенно при открытом переломе. Также крайне желательно наложить на открытую рану антисептическую повязку.
Чтобы замедлить начавшийся отек мягких тканей, сверху на место травмы нужно осторожно положить замотанный в полотенце холодный компресс. Это позволит уменьшить не только начинающийся отек, но и воспаление. Однако нужно учитывать, что такой компресс способен приостановить отек только в первые 25-30 мин после перелома.
Самостоятельно вправлять сломанную кость категорически нельзя.
После оказания первой помощи и до передачи пострадавшего в больницу важно постоянно контролировать состояние фиксирующих повязок, поскольку прогрессирующий отек будет увеличивать объем ноги в месте травмы, и наложенные бинты врежутся в тело, добавляя пострадавшему мучений.
Врач, ставя диагноз, не должен опираться только на внешние признаки перелома. Для точной постановки диагноза он обязательно должен направить пострадавшего на рентген, причем рентгеновский снимок нужно делать в двух проекциях – сбоку и спереди ноги. Если позволяет техническое оснащение больницы, то не помешает сделать и компьютерную томографию, чтобы получить трехстороннее изображение поврежденного сустава.
Вернуться к оглавлению
Лечение перелома
Лечение перелома всегда направлено на полное восстановление всех функций поврежденного сустава. В зависимости от вида и сложности травмы может применяться или консервативное лечение, или оперативное вмешательство. Но на практике консервативное лечение используется только в тех случаях, когда можно не вправлять кость и отсутствуют другие осложнения. В этом случае на место перелома накладывают гипс и отпускают пострадавшего лечиться в домашних условиях.
При оперативном вмешательстве выполняют репозицию сломанной кости. Иногда травматолог может вправить сломанную кость вручную, но чаще применяют хирургическое вмешательство – это позволяет намного эффективнее сложить и зафиксировать сломанные осколки кости. Фиксируют сломанную кость гипсовой повязкой. В особо сложных случаях фиксация выполняется с помощью спиц или других металлических фиксаторов.
Чтобы лечение перелома было максимально эффективным, во время операции и в первые дни после нее сломанная нога должна быть полностью обездвижена. От соблюдения этого правила напрямую зависит, сколько сломанная кость будет срастаться и, соответственно, сколько придется носить на ноге гипс. До снятия гипса ходить можно только при помощи костылей, при этом даже опираться на сломанную ногу категорически запрещено.
При переломе без смещения пострадавшему придется ходить в гипсе от 3 до 6 недель, а при травмах со смещением гипс снимается не раньше чем через 10 недель. Хотя, если не будет осложнений, то с разрешения врача осторожно опираться на сломанную ногу можно спустя 6-7 недель после операции. В особо сложных случаях, если кость плохо срастается, в гипсе приходится ходить от полугода до года. Столь длительное пребывание ноги в гипсе может стать опасным для здоровья, поэтому во время ношения гипса важно внимательно прислушиваться к своим ощущениям.
Если чувствуете под наложенным гипсом онемение, покалывание, отек или постоянные болезненные ощущения, то нужно немедленно сообщить об этом лечащему врачу – эти признаки могут свидетельствовать о начавшемся некрозе клеток.
Вернуться к оглавлению
Послеоперационная реабилитация
Послеоперационная реабилитация направлена на полное восстановление подвижности сросшегося сустава. Это длительный и поначалу даже болезненный процесс, но без его качественного проведения все предыдущее лечение не будет эффективным, пострадавший не сможет нормально ходить.
Реабилитация сломанного сустава начинается сразу после снятия гипса. Основные ее компоненты – специальный массаж, электрофорез, гимнастика и лечебная физкультура (ЛФК).
Массаж – первая процедура, с которой начинается реабилитация сломанного сустава. Назначается массаж почти сразу (обычно на 2-3 день) после наложения гипса. На начальном этапе делается массаж грудной клетки, чтобы избежать застоя в легких, и массаж живота.
Массаж сломанной ноги выполняют по такой схеме: сначала легко массажируют мышцы бедра, а затем выполняют массаж пальцев. Массаж сломанного сустава можно делать только после снятия гипса, поскольку даже малейшее прикосновение может сместить сломанные осколки кости.
Електроферез и ЛФК применяют для восстановления работоспособности сустава уже после снятия гипса. Нагрузки на занятиях ЛФК должны идти по возрастающей: от легких к умеренным и от умеренных к сильным. Режим и чередование процедур, а также упражнения ЛФК назначаются лечащим врачом и должны строго соблюдаться пациентом. Пытаться ускорить лечение и нагружать травмированную ногу сильнее, чем прописал врач, недопустимо.
В этот период обычно еще проявляются остаточные боли и отек в сломанном суставе.
Поэтому на начальном этапе реабилитации врачи советуют использовать при ходьбе трость, а если отек отсутствует, то можно вместо трости использовать бандаж — специальное приспособление, предохраняющее травмированный голеностоп от вывихов и повреждений.
Вернуться к оглавлению
Причины перелома лодыжек
| Травматические причины: | Патологические причины: | Физиологические причины: |
|
|
|
Виды
- Перелом лодыжки со смещением или без смещения костных отломков.
- Перелом лодыжки с вывихом, подвывихом или без вывиха стопы.
- Открытый или закрытый переломы.
- Перелом наружной лодыжки, внутренней или их сочетание.
Симптомы
Боль
Очень сильная боль возникает в момент травмы и длится на протяжении нескольких часов, после чего, при условии обездвиживания конечности, незначительно утихает. Иногда болевой синдром не возникает в самом начале, а начинается спустя некоторое время. Это объясняется большим выбросом гормона надпочечников – адреналина. Такое проявление характерно для небольших переломов без смещения отломков кости и значительного повреждения сухожильно-мышечного аппарата голеностопа. Сильная боль возникает при пальпации поврежденного участка или попытке упора на травмированную ногу.
Хруст
Крепитация костных отломков (хруст) при травме является достоверным признаком перелома. При пальпации возникает звук, похожий на хруст снега. Как правило звук сочетается с выраженным болевым синдромом и смещением отломков. Хруст никогда не возникнет при переломе лодыжки без смещения отломков.
Нарушение сгибательных и вращательных функций сустава
Нарушение функции голеностопа проявляется полным отсутствием сгибательных и вращательных движений в суставе, патологическим положением стопы. Это связано как с самим переломом, так и с полным вывихом, дополненным повреждением связок (см. чем отличается вывих от перелома, растяжения).
Синяк
Гематома является постоянным признаком перелома лодыжки. Особенно выражена она в дистальной части голени и голеностопе. Появление синюшной окраски объясняется повреждением мелких сосудов, находящихся в мышцах и сухожилиях. При повреждении более крупных сосудистых стволов может появится кровоизлияние, которое значительно усугубляет заживление кости и приводит к гнойно-септическим осложнениям.
Отек
Отек при переломах лодыжки или другого компонента голеностопного сустава возникает почти сразу после получения травмы, усугубляя при этом боль за счет смещения итак поврежденных нервных стволов и сосудов. Отек является закономерным ответом на травму и имеет двоякую природу: воспаление и выход жидкости из капилляров в ткани.
Потеря чувствительности
Иногда нога после перелома может потерять чувствительность в дистальных отделах, что объясняется как самим повреждением нервных стволов, так и их сдавлением гематомой или отекшей тканью.
Травматический шок
Если вовремя не была оказана первая медицинская помощь, то у большей половины пострадавших уже через несколько часов начинает развиваться травматический шок. Он характеризуется снижением реактивности организма на травму, снижением/падением артериального давления и централизацией кровообращения (почти вся кровь поступает в печень, сердце и легкие). Такое состояние в большинстве случаев развивается у пострадавших после перелома лодыжки с обеих сторон и полным вывихом стопы (перелом Дюпюитрена).
Диагностика
- Осмотр: визуальная и клиническая оценка поврежденного сегмента конечности, указанная выше.
- Рентгенография: стандартный метод диагностики переломов любого типа и локализации, для правильной оценки повреждения выполняется с захватом дистального и проксимального суставов от места повреждения;
— снимок кости выполняется в переднем и боковой проекции;
— проводится на каждом этапе лечения (после перелома, спустя несколько недель от наложения гипсовой повязки или операции и через несколько месяцев для оценки процессов консолидации). - МРТ: не несет лучевую нагрузку и может выполнятся многократно;
— позволяет более детально оценить место перелома;
— противопоказан после металлического остеосинтеза. - КТ: наиболее информативный метод диагностики переломов;
— позволяет послойно рассмотреть область перелома и выявить любую патологию костной системы;
— несет сильную лучевую нагрузку и производится по строгим показаниям. - Рентгеновская денситометрия: позволяет определить минеральную плотность кости и является эталоном в диагностике остеопороза;
— показан при частых переломах. - УЗИ: является дополнительным методом и позволяет оценить полость и структуры сустава.
Первая помощь
- Устранить воздействие травмирующего агента, к примеру, освободить голеностоп от сдавления его во время ДТП.
- Успокоить пострадавшего и при возможности ввести обезболивающее.
- Вызвать подмогу или скорую медицинскую помощь.
- Избегать грубых движений и не давать пострадавшему встать на поврежденную ногу, что может способствовать еще большему смещению, повреждению нервов и сосудов.
- Зафиксировать травмированную конечность подручными средствами, а при возможности специальными транспортными шинами (провести иммобилизацию). Это можно сделать с помощью доски, арматуры и пр., перевязав бинтами или длинной тканью.
- При открытом переломе наложить стерильную повязку для предупреждения дальнейшего попадания инфекции в рану.
- При наличии артериального кровотечения, что может случится при переломе внутренней лодыжки (пульсирующая и быстро вытекающая алая кровь) наложить жгут подручными средствами выше раны, желательно на бедро, так как наложение его на голень не сможет гарантировать окончательный гемостаз.
- При наличии венозного кровотечения (кровь темного цвета, без пульсации) наложить давящую повязку.
- При закрытых переломах лодыжки и по возможности приложить холод к месту перелома, последний не только уменьшит отек, но и снизит болевой синдром.
- По возможности придать поврежденной нижней конечности возвышенное положение. Это достигается при помощи валика из подручных материалов.
- Самостоятельно нельзя ничего «вправлять», это делает при необходимости только врач-травматолог после рентгена.
Лечение
Существует два принципиально разных подхода к лечению перелома лодыжки: консервативный и оперативный. Показанием к проведению консервативных мер (наложение гипсовой лонгеты) относятся:
- Закрытый перелом одной или двух лодыжек без смещения костных фрагментов и без разрыва связочного аппарата;
- При адекватной репозиции травматологом отломков;
- Невозможность выполнения оперативного вмешательства (тяжелая сопутствующая патология, отказ пострадавшего от операции).
Гипсовая лонгета накладывается по задней поверхности голени и на всю подошвенную часть стопы, после чего надежно фиксируется обычным бинтом. Такая лонгета не должна сильно сдавливать голень, так как это может привести к острому нарушению кровообращения в поврежденной конечности. После наложения гипсовой лонгеты необходимо выполнить повторную рентгенографию для исключения смещения костных фрагментов.
Важно понимать, что снятие гипса происходить только после 6-12 недель и оно зависит от степени консолидации кости, сложности перелома и образования костного мозоля, что периодически оценивается с помощью рентгенологического контроля. То есть на вопрос сколько в гипсе быть при перломе лодыжки, ответ — от 1,5 до 2,5 месяцев. Во время ношения гипсовой лонгеты ни в коем случае нельзя наступать на ногу, так как это может вызвать повторное смещение все тех же отломков и проведение оперативного вмешательства.
Восстановление после перелома может длится от 2 и до 12 месяцев. Оно зависит от общего состояния, возраста, обмена витаминов и микро/макроэлементов, а также сложности самого перелома.
Частые осложнения после гипса и при не нормальном сращении кости
- Ложный сустав в указанной анатомической области;
- Необратимые изменения сустава (артроз);
- Привычный вывих голеностопа;
- Деформация нормального соотношения малой- и большеберцовой кости голеностопа;
- Контрактура голеностопного сустава.
Показания для лечение перелома лодыжки с помощью операции
- Полный разрыв связок голеностопа;
- Полный вывих стопы, сочетающийся со смещением отломков;
- Открытый перелом;
- Различные сложные переломы (застарелые, повторные, отрывом между берцового сочленения, переломы Дюпюитрена);
- Активное кровотечение;
- Образование обширной гематомы.
Все виды оперативных вмешательств при переломах лодыжки делятся на:
Наружный МОС (металлический остеосинтез)
Погружной МОС, который в свою очередь подразделяется на фиксацию отломков лодыжки с помощью:
- Фиксирующей металлической конструкции, которая крепится на наружной поверхности кости;
- Внутри кости;
- Через кость.
При необходимости такой вид оперативного вмешательства может быть дополнен восстановлением целостности связочного аппарата голеностопа. После успешного выполнения оперативного вмешательства рана в обязательном порядке дренируется с помощью полихлорвиниловых трубок для профилактики повторного кровотечения или возникновения инфекции в ней и поверх нее накладывается гипсовая повязка.
Осложнения после операции МОС и их лечение
Среди частых осложнений послеоперационного периода наблюдается присоединение инфекции и образовании гнойного очага. Возникает как в самой ране, так и в проекции шва. Суть лечения состоит в раскрытии раны, ее ревизии и обработке антисептическими веществами с последующим повторным дренированием (для санаций во время перевязки).
Рецидив кровотечения является одним из частых осложнений и может возникнуть вследствие повреждения во время операции сосудистых стволов, несостоятельности лигатуры на сосуде и гнойном расплавлении стенки артерии или вены. Такое осложнение требует неотложного оперативного вмешательства для проведения ревизии, выявления и устранения источника кровотечения.
Также часто случается и остеомиелит кости на которой было выполнено оперативное вмешательство. Последний представляет собой расплавление внутренней части кости с выходом образовавшихся некротических масс наружу при помощи свища. Такое осложнение может возникнуть как вариант отторжения чужеродного материала костью (в данном случае металлической пластинки). Остеомиелит также требует повторного оперативного вмешательства, суть которого состоит в вскрытии секвестра, удалении и дренировании его.
В последнее время все чаще начинают использоваться новые методы лечения осложнений. К последним можно отнести аппарат ультразвуковой кавитации, позволяющий с помощью этого физического эффекта очищать гнойно-некротические очаги в ране и кости без их травмирования, а также VAС систему, которая уменьшает количество перевязок на оперированной конечности путем создания полного вакуума, вследствие чего гибнут все микроорганизмы.
Консервативное лечение послеоперационного периода
- Профилактика присоединения инфекции: назначение антибиотиков и регулярные перевязки раны.
- Обезболивание: снятие боли и создание комфорта для дальнейшего лечения.
- Лечение сопутствующей патологии.
Реабилитация и прогноз
Перелом лодыжки требует начала проведения данного мероприятия уже через несколько недель после наложения гипса или выполнения операции, ведь сколько будет длится реабилитация зависит именно от общего состояния пострадавшего и его усилий. Также она должна проводится и после гипса, особенно если нахождение в нем превышало 6 недель. Это объясняется незначительной атрофией мышц голени и ухудшением микроциркуляции тканей под гипсом.
Гимнастика
Гимнастика после перелома лодыжек является одним из основных реабилитационных мероприятий и включает комплекс упражнений:
Ранний период после травмы (1-2 месяц):
- Сгибание и разгибание пальцев стопы (циклично по 20 раз в 3-4 подхода);
- Сгибание, разгибание и вращение стопы (10-20 раз по 3-4 подхода);
- Махи прямой травмированной ногой в стороны, при этом фиксируясь рукой за спинку стула или стену;
- Сгибание и разгибание травмированной ноги в коленном суставе в положении лежа;
Поздний период после травмы (6 месяцев-1 год):
- Ходьба на носках, а потом на пятках;
- Прыжки на скакалке в среднем темпе по 30 секунд;
- Бег переставным шагом, также в средне интенсивном темпе;
- Приседание на носочках.
Следует отметить то, что гимнастические упражнения в позднем и раннем периоде должны проводится только после фиксации голеностопа эластичным бинтом в виде крестообразной повязки.
Физиотерапия
- Первые 10 дней после фиксации конечности УВЧ-терапия, магнитотерапия и интерференционные токи снижают отек тканей и уменьшают болевой синдром за счет ускорения микроциркуляции. Магнитотерапия противопоказана при МОС. Подробнее о показаниях и противопоказаниях магнитотерапии.
- 10-45 день ультрафиолетовые облучения конечности (субэритемные и эритемные дозы) для улучшения регенерации костной ткани и достаточной выработке витамина D.
- 45-90 день интерференционные токи частотой до 100 Гц для усиления местного обмена веществ.
Строение голеностопного сустава и характер его перелома
Голеностопный сустав представляет собой блоковидную конструкцию, состоящую из основной кости, связок (это плотные соединительные структуры), мышц, сухожилий, нервных окончаний. Основная кость образуется из двух: большеберцовой и малоберцовой. Они выполняют функцию захвата таранной кости с помощью лодыжек — утолщённых костных образований.
Нарушение такого сочленения кости голени очень опасно и приводит к длительному лечебно-восстановительному периоду.
Характер переломов зависит от вида повреждений. Если зафиксирована открытая травма костных тканей, то в ране будут видны отломки кости. Также наблюдаются кровотечение и болевой шок. При закрытой травме есть внутреннее кровоизлияние и отёчность повреждённых тканей. Чтобы определить полную клиническую картину, назначают рентгенографию.
Результаты аппаратного исследования определят метод лечения.
Повреждения без смещения протекают сравнительно легко, и на восстановление двигательной функции понадобится меньше времени, чем при вышеуказанных переломах.
Стоит обратить внимание, что медики не употребляют термин «перелом голеностопа» в буквальном значении, поскольку сустав не может ломаться. Этим словосочетанием они обозначают повреждение лодыжки с вывихом или подвывихом.
Классификация переломов голеностопного сустава
Перелом голеностопного сустава может давать различный характер травмы:
- открытый;
- закрытый.
Закрытый перелом классифицируется на следующие типы:
- без смещения.
- со смещением.
Самым лёгким в лечении является закрытый перелом голеностопного сустава без смещения. Подвижное соединение костей скелета может быть травмировано из-за сильного удара во время падения с высоты. Назначают амбулаторную терапию, при которой редко возникают осложнения.
Она разделяется на следующие подвиды:
- Наружно-ротационная. Возникает при вращательном движении сустава по спирали. Бывает со смещением назад, вперёд, с отрывом внутренней лодыжки.
- Абдукционная. Определяется перелом со смещением поперёк малоберцовой кости.
- Аддукционная. Устанавливается отрыв внутренней лодыжки в результате подворачивании стопы или пяточной кости внутрь.
Открытый перелом со смещением фрагментов кости и разрывом связок является самым сложным. Травмы образуются в результате падения с большой высоты, сильного удара, во время занятий экстремальным видом спорта. В этом случае прибегают к хирургическому лечению, при котором используют фиксирующие инструменты: спицы или винты.
Причины травмирования голеностопного сустава
Более 90% случаев переломов происходят по причине непрямого действия повреждающей силы, когда верхний отдел стопы продолжает движение, а нижний в этот момент зафиксирован. По статистике, такие травмы возникают при падении во время ходьбы или более активного передвижения.
В остальных случаях (около 10%) травмы происходят от прямого действия повреждающей силы, в результате чего случаются переломы латеральной и медиальной лодыжек (это костные образования, участвующие в формировании голеностопного сустава) при внедрении мягких тканей между их обломками и разрывах медиальной связки.
Симптомы голеностопного перелома
- Затруднительная ходьба, боль при опоре на повреждённую конечность.
- Отёчность в области травмированных костей и мягких тканей.
- Усиления болевого синдрома при касании и сдавливании голеностопа.
- Гематомы.
- Патологические изменения кости, то есть её неестественное положение.
- Хруст фрагментов кости при ощупывании и движении ноги.
Диагностирование перелома
Определение сложности и вида перелома голеностопа по внешним признакам не даёт 100%-й гарантии правильности диагноза. Причиной этого является схожесть симптомов с признаками обычного вывиха или ушиба.
Для подтверждения первого медицинского заключения назначают рентгенологическое обследование.
Через 15 минут бывает готов снимок, с помощью которого доктор по контурам связок голеностопа ставит заключительный диагноз, в соответствии с ним и назначается лечение.
Оказание первой помощи
Первым делом при переломе голеностопа со смещением необходимо снять обувь, в противном случае из-за большой отёчности её придётся разрезать.
Второе действие — наложение шины. В качестве опоры сойдёт обычная дощечка, которую фиксируют к ноге с помощью бинтов, верёвок, ремней и т. п. Если под рукой вообще ничего нет, то больную ногу следует привязать к здоровой.
Затем нужно найти для больного обезболивающие средства, чтобы притупить его ощущения и исключить развитие болевого шока.
При открытом переломе ход оказания первой помощи меняется:
- Остановка кровотечения. Производится она накладыванием жгута выше раны.
- Антисептическая терапия. В идеале лучше применить антисептическую повязку. Также подойдёт обработка любым препаратом, уничтожающим патогенные бактерии.
- Накладывание шины с фиксацией ноги выше или ниже открытой раны.
- Приём обезболивающих и спазмолитических препаратов.
Не рекомендуется проводить самостоятельные действия по вправлению костей.
Виды лечения
Лечение перелома голеностопного сустава производят двумя способами: консервативным и хирургическим.
Консервативная терапия
В случае закрытого перелома со смещением, но без разрывов связок, осуществляют ручную репозицию — восстановление правильного положения смещённых фрагментов костей. После осуществляют иммобилизацию — накладывают гипсовую повязку.
Консервативную терапию выполняют под местной анестезией.
При застарелых переломах используют дополнительные устройства, которые способствуют оттяжке конечности через гипс.
При носке гипсовой повязки часто возникают боль и отёчность. Справиться с ними можно с помощью медикаментозной терапии. Лекарственные средства назначаются только лечащим врачом.
Полное восстановление происходит через 8–10 месяцев.
Хирургическая терапия
Операция показана пациентам с открытым переломом или в случае наличия костных фрагментов, которые невозможно восстановить ручным способом. В процессе операции применяют остеосинтез, когда восстановление целостности кости проводят с помощью спиц и металлических соединительных инструментов.
Также врачом назначаются лекарственные препараты против боли, отёчности, а также минеральные комплексы с преобладанием кальция.
Гипс снимают через 8–12 недель в зависимости от сложности перелома голеностопа.
Реабилитация — обязательная восстановительная процедура
Ещё во время иммобилизации врачи рекомендуют двигать коленом с целью поддерживания нормального кровообращения и тонуса мышц. За снятием повязки наступает стадия реабилитации после перелома голеностопа, на период которой назначаются следующие процедуры:
- Физиотерапия. Перед тем как разработать ногу, необходимо восстановить обменные процессы в голеностопе, наладить кровообращение, поэтому в течение первых 10 дней используют магнитотерапию, УВЧ-лечение. Для усиленной регенерации тканей больной проходит ультрафиолетовое облучение, а для восстановления местного обмена веществ назначают интерференционные токи.
- Ванночки. Делают солевой раствор, которым прогревают суставы в течение 15–20 минут.
- Лечебная физкультура (ЛФК) или гимнастика. Назначается с целью восстановления функций мышц, которые атрофировались. Все упражнения направлены на сгибание, разгибание, вращение стопы (20 раз по 2–3 подхода), шевеление пальцами (30 раз по 2 подхода), махи ногой вверх и в сторону (20 раз по 3 подхода). Спустя полгода после перелома можно начать приседать на носочках и пятках, прыгать со скакалкой.
- Механотерапия. Это комплексная терапия, заключающаяся в проведении кинезотерапии и ЛФК, то есть физические упражнения на тренажёрах.
- Массаж. Проводится только профессионалом. Движения должны носить больше растирающий характер, чтобы усилить кровоток и активизировать местные обменные процессы в тканях.
Старательное выполнение всех указаний лечащего врача поможет добиться быстрого восстановительного процесса. Как правило, после хирургического вмешательства он длится дольше, чем при консервативном методе лечения.
Реабилитация после снятия гипса включает также диету. Продукты должны быть богаты кальцием и кремнием. Это цветная капуста, молочные продукты, орехи, смородина, маслины.
Как долго нужно ходить в гипсовой повязке
Каждый пациент интересуется, сколько ходить в гипсе. Всё зависит от возраста (молодым людям повязка накладывается на меньший период, чем пожилым) и серьёзности травмы.
В среднем при закрытом переломе без смещения этот срок составляет 3-4 недели, со смещением — до 8 недель, при открытом переломе — до 12 недель.
Когда разрешается наступать на ногу
Когда можно наступать на ногу? Первые шаги после снятия гипса осуществляются только с помощью костылей или трости. Это предотвращает повреждение сустава. Во время разработки голеностопа на ногу нужно становиться с осторожностью, избегая частых и сильных нагрузок.
Самостоятельно передвигаться дозволяется после полного прохождения курса реабилитации или через 2–3 недели. Полноценная нагрузка (долгая ходьба, бег) возможна через 3–4 месяца.
Бандаж после перелома голеностопа
Перенапряжение сросшейся кости чревато осложнениями: стрессом мышц и связок, изнашиванием хрящей. Всё это вызывает боль в охватывающих кость атрофированных тканях. Убрать физические страдания, восстановить голень после травмы и снизить вероятность рецидива способен бандаж на голеностопный сустав после перелома — тутор. Медицинские приспособления бывают следующих видов:
- Мягкий ортез (как эластичная повязка). Предназначен для травм бытового и спортивного характера, после операции. Применяется для закрепления поврежденных связок после снятия гипса. Способствует притуплению умеренных болей.
- Жёсткий корсет надёжно фиксирует стопу и лодыжку. Применяется в реабилитационный период после открытого перелома со смещением костных отломков. Поскольку он соприкасается с кожей, к его выбору стоит отнестись серьёзно (приобретать нужно в спецмагазинах, аптеках).
Какую обувь носить
Весь период реабилитации и ещё несколько месяцев после него обувь должна быть максимально удобной, на плоской подошве, с ортопедическими стельками, которые изготавливаются под заказ у ортопеда.
Механизм травмы
Основным механизмом повреждения голеностопного сустава является ситуация, при которой стопа находится в фиксированном положении, а верхняя часть ноги в движении. При этом резко изменяется положение блока таранной кости. Она сильно упирается в передний край нижней части большеберцовой кости, в результате чего происходит его отламывание.
Травма голеностопного сустава может произойти в результате наружной ротации, отведении и приведении стопы, а также вертикальной компрессии. В клинической практике перелом голеностопного сустава происходит в результате сочетанного воздействия вышеперечисленных сил.
В результате травмы происходит разрыв крупных связок и мышц, перелом лодыжки со смещением или без смещения. Иногда случается вертикальное сдавливание голеностопного сустава. В этой ситуации наблюдается отрыв связок и перелом передней или задней части большеберцовой кости.
В травматологии встречаются костно-суставные, а также внутрисуставные переломы боковой части таранной кости. В более редких случаях происходит отрывной перелом последней плюсневой кости. Такая ситуация может возникнуть при падении даже с небольшой высоты, при беге или быстрой ходьбе, а также при катании на роликах, коньках или лыжах.
Причины перелома голеностопного сустава:
- Прямое воздействие силы (например, удар тяжелым предметом);
- Резкие повороты стопы, а также различные вертикальные нагрузки;
- Резкая ротация стопы наружу (такое положение очень часто приводит к пронацилонным переломам);
- Резкая ротация стопы вовнутрь;
- Усиленная вертикальная нагрузка.
Существует несколько классификаций переломов голеностопного сустава, которые зависят от механизма травмы и типа смещения костей.
Основные виды перелома:
- Перелом голеностопного сустава без смещения
- Перелом голеностопного сустава со смещением;
- Перелом голеностопного сустава с вывихом стопы вовнутрь;
- Перелом голеностопного сустава с вывихом стопы наружу;
- Открытый перелом голеностопа;
- Закрытый перелом голеностопа.
Симптомы перелома
Клинические проявления перелома зависят от механизма травмы. Человек жалуется на боль в области щиколотки ноги и не может опираться на травмированную ногу. В некоторых случаях у больных при переломе лодыжки опора на ногу сохраняется. В области травмированной щиколотки наблюдается отечность мягких тканей и кровоизлияния под кожу. Болевой синдром может усиливаться не только за счет повреждения нервных окончаний, но и за счет выраженной отечности тканей.
В тех случаях, когда происходит перелом переднего края большеберцовой кости с вывихом стопы, можно наблюдать удлинение передней части стопы и резкую болезненность при пальпации голеностопа.
Основными симптомами перелома голеностопа являются:
- Деформация сустава;
- Выраженный отек в области голеностопа;
- Ограничение подвижности;
- Резкая боль в области травмы;
- Человек не может опираться на конечность.
Диагностика
Основным методом диагностики перелома является рентгенологическое исследование. Больному делается снимок в стандартных двух проекциях: прямой и боковой. В самых сложных случаях визуализировать голеностопный сустав в трех проекциях помогает компьютерная томография.
Лечение
В настоящее время существуют два основных метода лечения перелома голеностопного сустава: консервативный и оперативный. При повреждении голеностопного сустава накладывается гипсовая повязка, используется чрезкожное вытяжение, оперативные вмешательства с остеосинтезом.
В большинстве случаев несложные переломы голеностопного сустава лечатся консервативно.
В современной травматологии и ортопедии наиболее эффективным признан метод оперативного лечения. Больному с переломом голеностопа со смещением под наркозом проводят репозицию отломков и остеосинтез. Части сломанной кости фиксируются при помощи различных конструкций. Для того чтобы кости правильно срослись, выбирается специальный имплантант-фиксатор.
Травматолог должен в ходе операции не только восстановить форму сустава, но и сшить связочные элементы.
При открытых переломах голеностопа высокий риск развития воспаления сустава. В этих случаях первоочередной задачей врача является соблюдение всех правил асептики и антисептики, тщательная обработка раны перед оперативным вмешательством. В ходе операции необходимо по возможности закрыть полость голеностопного сустава, а также провести дренаж раны.
В травматологии при переломе голеностопа широко используются специальные аппараты для внешней фиксации костных отломков. Они позволяют правильно восстановить соотношение костей и одновременно обеспечить доступ к ране.
Если у больного в результате травмы произошло разрушение хряща, то у него в последующем развивается деформирующий артроз. У данного контингента больных основным способом лечения является артродез голеностопного сустава.
Ходить в гипсе после перелома голеностопного сустава необходимо 4-6 недель, а иногда и 8 недель. При переломе голеностопного сустава со смещением лечение и восстановительный период у больного более продолжительный во времени.
В этот период он должен передвигаться на костылях, опору на травмированную ногу делать запрещено. Дозированную нагрузку на травмированную ногу можно давать только с разрешения травматолога после контрольной рентгенографии. При раннем снятии гипса и чрезмерной нагрузке на голеностоп может произойти смещение отломков кости.
При застарелых переломах голеностопного сустава больному показана операция.
